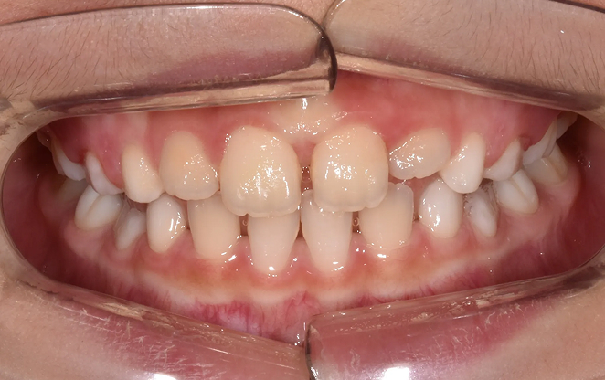
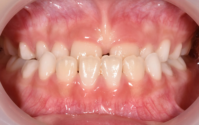
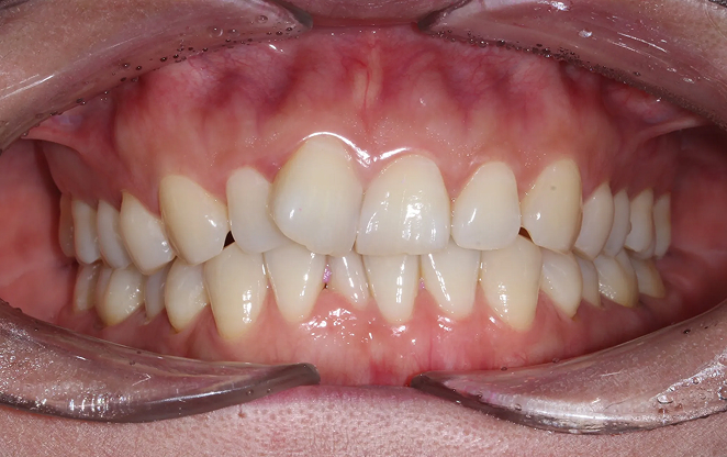
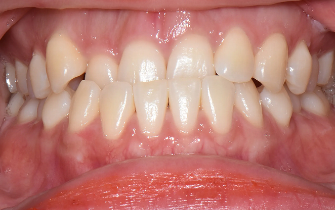
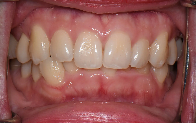
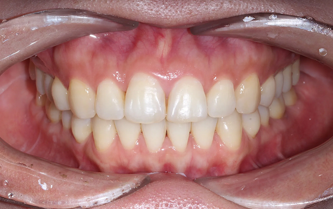
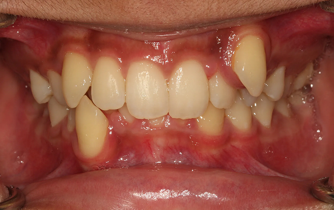
1차 교정
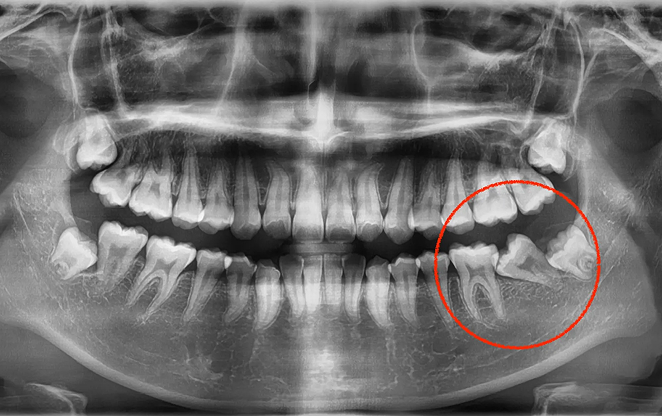
중고생 교정
비발치 교정
비수술 교정
비보철 교정
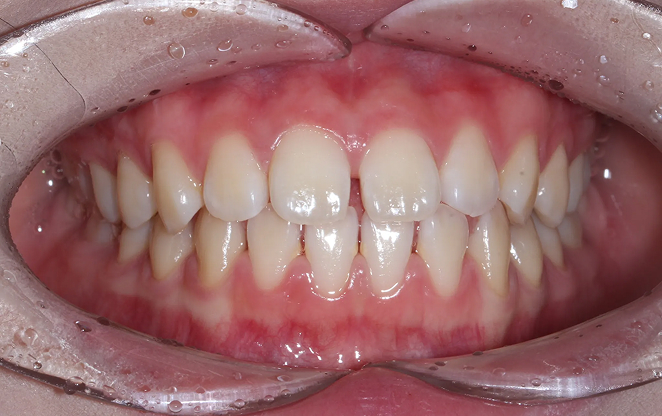
턱과 얼굴을 빚어나가는
성장교정, 1차교정
아이의 치아는 건강한 미소의 첫걸음이자 자신감의 시작입니다.
초등학생 1차 교정은 영구치가 나오기 전 혼합치열기에 시작하는
교정입니다. 이 중요한 시기에 치아가 제대로 자리 잡을 수 있도록,
아이의 밝은 미래를 위한 준비를 도와드릴게요.
01
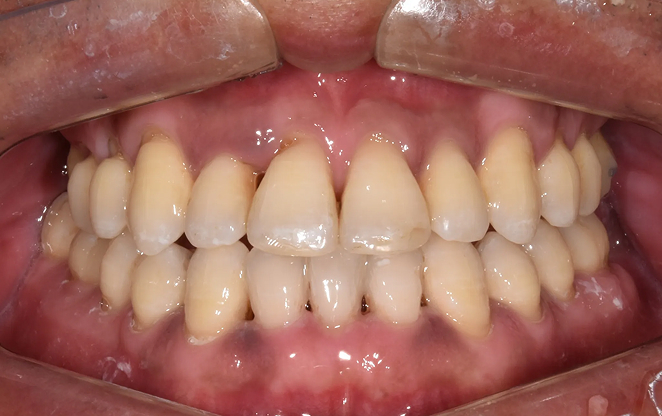
Before
After
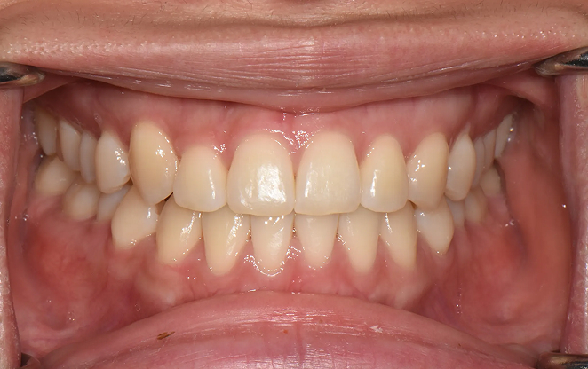
Before
After
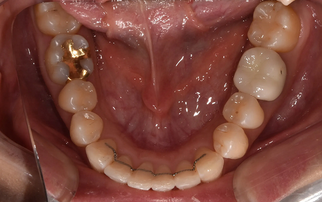
Before
After
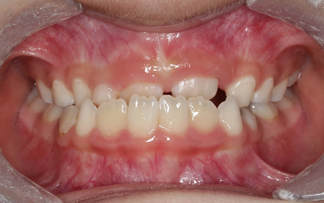
Before
After
Before
After
Before
After
Before
After
Before
After
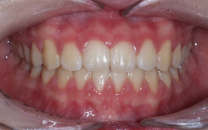
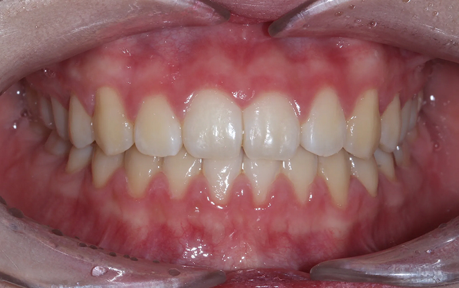
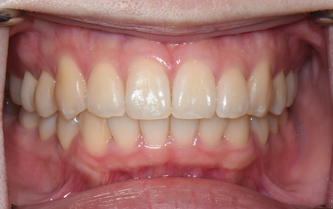
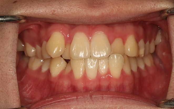
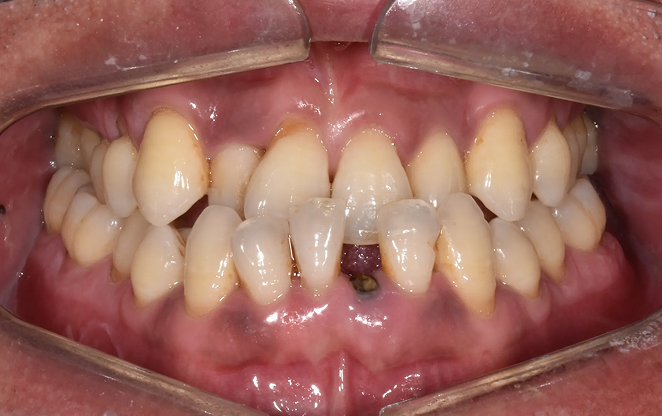
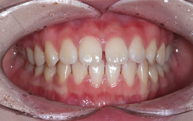
청소년의 자신감을 완성하는
중·고생 2차교정
세상을 향해 첫걸음을 내딛는 아이들을 위한, 조금 더 세심한
교정입니다. 중·고등학생들을 위한 2차 교정은 영구치가 자리를
잡은 후 진행되는 본격적인 교정인데요. 치아의 배열과 교합을
정밀하게 맞추어 성장이 마무리된 치아와 턱이
올바르게 위치할 수 있도록 합니다.
01
Before
After
Before
After
Before
After
Before
After
Before
After
Before
After
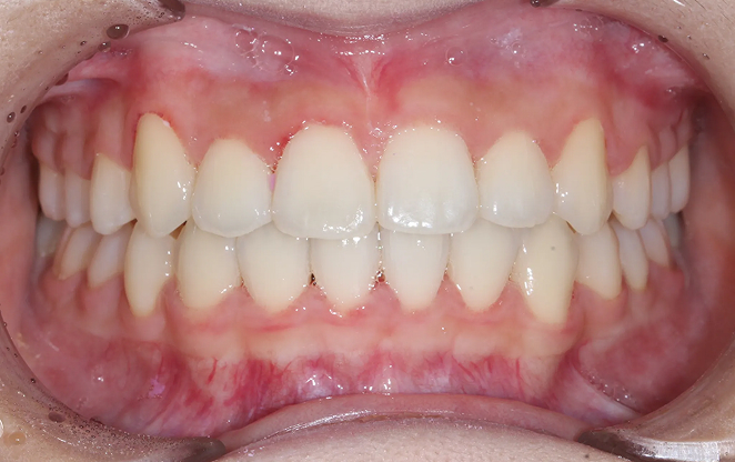
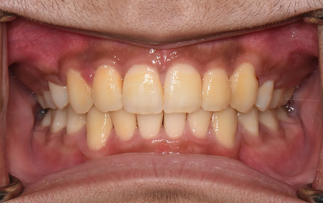
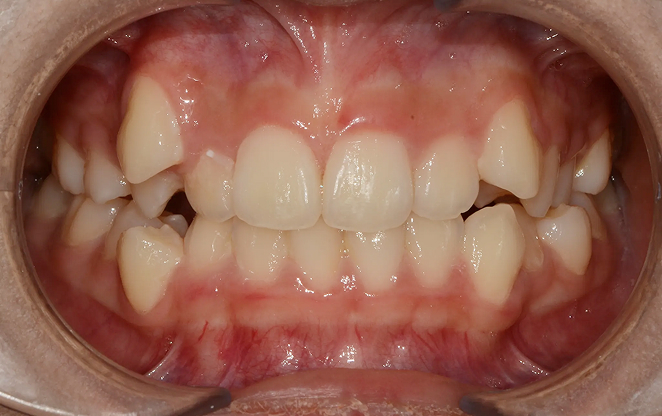
발치 없이, 턱과 얼굴의
조화를 만들어가는 비발치교정
어려운 결정을 내리지 않고도 아름다운 미소를
찾아갈 수 있는 길이 있습니다. 비발치 교정은 발치를 하지 않고
치아를 이동시켜 공간을 확보하는 방법입니다.
치아의 배열을 세심하게 조정해 공간을 확보하고,
치아가 자연스럽게 자리할 수 있도록 합니다.
01
Before
After
Before
After
Before
After
Before
After
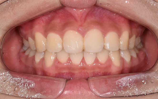
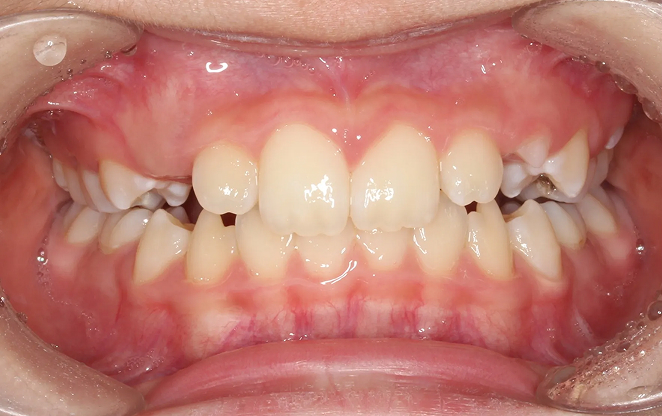
수술 없이도 변화되는 얼굴,
비수술 교정
걱정하지 않으셔도 됩니다. 수술 없이도 충분히
가능한 일들이 많으니까요. 비수술 교정은 수술 없이
치아와 턱의 균형을 잡아주는 교정 방식입니다.
내 모습 그대로의 매력을 지키면서도 건강하고 자연스러운 미소를
찾아가는 여정을 함께합니다.
01
Before
After
Before
After
Before
After
Before
After
Before
After
Before
After
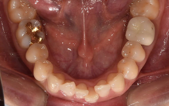
내 치아 그대로 오래쓸 수 있는,
평생 건강한 미소를 위한 비보철 교정
비보철 교정은 치아를 뽑거나 보철물을 사용하지 않고,
내 치아 그대로의 아름다움을 지켜가며 교정하는 방법입니다.
불필요한 보철 없이 치아의 배열을 조정해, 자연스럽고 건강한 치아와
균형 잡힌 미소를 찾아가는 과정입니다. 자연스러움 속에서 완성되는
건강한 미소, 비보철 교정으로 그 여정을 시작하세요.
01
Before
After
Before
After
Before
After
Before
After
Before
After
변화는 천천히 찾아오지만, 변화는 천천히 찾아오지만,
그 끝은 늘 만족스러울 거예요. 그 끝은 늘 만족스러울 거예요.
작은 변화들이 쌓여 완성되는 미소를 함께 만들어 갑니다. 작은 변화들이 쌓여 완성되는 미소를 함께 만들어 갑니다.
치아 교정,
그 하나에만 모든 것을 담습니다.
작은 공간의 여백, 비로소 보이는 본질.
송병재교정치과