교정 이야기
교정기 떼고 나서 치아에 금이 갔는데... 어떡하죠?? / 브라켓 제거 후 실금간 경우
2026.02.27
본문
가끔 교정치료가 끝난 환자분들께서 여쭤보시는 질문 중 하나입니다.
교정장치를 떼고 나서 보니까
치아에 금이 간 것 같아요.
괜찮은 건가요?
없어지나요?
출처 입력
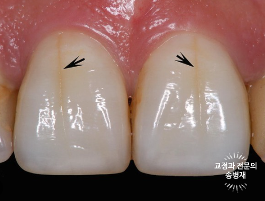
치아에 금이 갔다고?
<craze line>
위에서 빨간 화살표로 표시한 실금이 잘 보이시나요?
치아에서 보이는 실금은 craze line이라고 부르며, 치아 표면 약 0.1mm 내의 야주 얕은 깊이의 실금입니다.
이러한 실금은 훨씬 더 깊이 금이 간 치아파절(crack line)과 구별됩니다.
아래는 치아파절인 경우입니다.



치아가 파절된 경우 위 그림과 같이 그 선이 훨씬 선명하게 보이는 경우가 있으며(시간이 지난 경우 착색되기 때문)
통증이나 염증이 수반되는 경우가 많기 때문에 발치해야 하는 경우가 많습니다.
치아에 금이 갔다는 이유로 발치까지 해야 한다면 속상하겠죠ㅠ
하지만 단순히 치아에 실금이 간 craze line인 경우에는 전혀 발치할 필요가 없으니 걱정 안 하셔도 됩니다.
자 그럼 치아에 왜 이렇게 금이 가는 건지 한번 살펴볼게요.
치아에 금이 생기는 이유
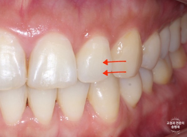
1) 일상생활 중 발생 (노화)
왼쪽 : 교정 전 / 오른쪽 : 교정 후, 치아를 찍는 각도나 불빛에 의해 실금이 다르게 보입니다.
위 경우처럼 교정을 하지 않는 경우에도 실금은 일어날 수 있습니다.
사진상에서 교정 전에 이미 있던 실금이 교정 후에도 그대로 유지되고 있습니다.
치아는 단단한 hydrozy apatite라는 구조로 이루어진 조직이기 때문에, 우리가 매일 먹는 따뜻하고 차가운 음식에 영향받습니다.
이러한 급격한 온도 변화가 누적되는 경우 치아에 실금이 가기 시작합니다.
오래된 암석이나 바위, 돌 등을 관찰할 때 발견되는 금과 같은 이유입니다.
그래서 저는 이러한 실금을 나이가 들수록 피부에서 깊게 나타나고 잘 보이게 되는 '주름'과 같다고 표현합니다.
몇십 년을 썼으니까요.
특히 딱딱한 음식을 자주 씹으시는 경우에 그 빈도나 형태가 더 빈발할 수 있습니다.

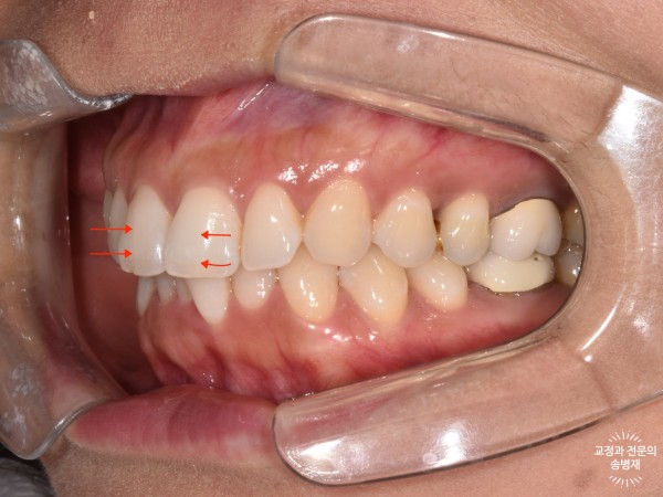
2) 교정치료와 연관된 실금
브라켓이라고 하는 교정장치는 치아를 잡고 움직이기 위해 치아에 부착됩니다.
보통 2년이라는 시간 동안 부착되어 있어야 하기 때문에 치아와 매우 단단히 부착이 되죠.
이러한 브라켓을 교정치료 종료 후 제거할 때 치아에 힘이 가해지게 되고, 이때 실금이 생길 수 있습니다.
이러한 실금 발생을 최소화하기 위해서는 교정장치 제거 시 최대한 조심스럽고, 부드러운 힘을 이용하여 제거하여야 하고,
무엇보다 치아 하나하나를 본인 치아라고 생각하는, 조심성 많은 좋은 치과의사를 만나시는 게 중요합니다.^^
하지만 아무리 조심해도 어쩔 수 없이 발생하는 경우가 있습니다.
-
아래는 나이와 교정장치 제거가 craze line이 발생하는 빈도와 정도에 영향을 주는지 연구한 한 논문입니다.
강남세브란스 교정과 교수님들께서 지도해 주셨습니다.
치과에 내원하는 모든 환자들의 앞니의 실금을 분석하였습니다.
이들의 나이와 교정치료 여부 등을 조사하였고, 일반 사진, 엑스레이 사진, 투과 스캔 등을 시행하였습니다.

결과적으로 조사한 환자 중 약 50프로에서 이 실금이 발견되었습니다.
20대 이전보다 20대 이후에서 실금이 유의미하게 더 많이 발견되었고, 30대보다 40대에서 더 많이 발견되었습니다.
놀랍게도 교정치료 여부는 실금의 빈도에 영향을 주지 않는다고 나와있습니다.
심지어는 교정장치 종류와도 실금의 빈도와 정도에 상관이 없다는 결과가 나왔습니다.
이러한 결과는 연구 결과의 분석에 있어서 흔히 하는 육안검사가 아닌 엑스레이나 투과 스캔 등을 사용하였기 때문에 그 정도가 과하게 판별되어 교정장치와의 연관성이 줄어든 것으로 보입니다.
계속 신경 쓰이는데.. 제거할 수 있나요?
위에서 말씀드린 대로 치아, 특히 앞니에 생긴 실금은 나이 듦에 따라 자연스레 발생하는 하나의 주름과 같습니다.
통증이나 염증이 수반되는 경우도 없기 때문에, 실금을 꼭 치료해야 할 필요는 없습니다..
하지만!
웃을 때마다 신경 쓰이거나 점점 실금이 진해지는 것 같은 느낌이 있다면 치료하시는 게 맞겠죠.

앞니에 발생한 실금을 갈아내고 치아색이 나는 레진이라는 재료로 때우는 방법이 첫 번째로 고려될 수 있습니다.
하지만 앞니는 그 두께가 어금니에 비해 얇기 때문에 기능 중 깨질 수 있습니다.
따라서 실금의 길이가 길고 부위가 넓다면 해당 부위를 제거하고 라미네이트나 크라운으로 씌우는 방법을 고려할 수 있습니다.
하지만, 전에도 몇 번 말씀드린 것과 같이 치아는 최대한 건드리지 않는 것이 좋습니다.
치아를 삭제하는 순간부터 치아의 수명이 줄어든다고 보는 게 맞습니다.
그러니 실금의 제거와 치료는 신중히 결정하시길 바랍니다.
오늘의 결론
오늘은 앞니에 보이는 실금에 대해서 이야기해 보았습니다.
1. 일반적으로 우리 피부의 주름과 같이 치아에는 자연적으로 실금이 발생하며, 실금도 노화에 의해 점점 길어지고 넓어집니다.
2. 교정장치 제거 시 실금이 발생할 수 있으나 술자인 의사가 그만큼 정성과 노력을 기울이면 이를 최소화할 수 있습니다.
출판된 논문에서는 교정치료와 실금은 상관없다고 하나, 임상적으로 보았을 때 상관이 아예 없지는 않은 것 같습니다.
3. 실금이 계속 신경 쓰이고 깊어진다면 제거 후 치아색으로 때우는 방법이 있을 수 있으나, 치아에 무리가 가능 행위이므로 적극적으로 권장 드리지 않습니다.