교정 이야기
셀프치아교정의 위험성 / 교정장치를 중국에서 직구한다구요?
2026.02.27
본문
여러분들은 해외 직구를 얼마나 이용하시는지요?
저도 중국을 포함하여 해외 직구를
종종 이용하곤 합니다.
특히 최근 들어 몇몇 유명 사이트들이
대대적으로 마케팅을 펼치며
우리 생활에 더 깊게 들어오는 것 같은
느낌이 들었습니다.
그 와중에 평소에도 혹시나... 하고 생각했던 일들 중
'이건 좀 위험할 것 같은데?'
라고 생각했던 셀프 치아교정에 대해서
최근 치의신보에 관련 내용이 실렸습니다.
모바일로 보시느라
위 뉴스가 보이지 않는 분들은
아래 링크로 들어가시면
기사를 확인하실 수 있습니다.
https://www.dailydental.co.kr/news/article.html?no=128420
많은 분들이 의아해하실 거예요.
혼자 스스로? 셀프로 교정치료를 한다고?
그게 되려나??
저도 실제로 본 적은 없지만
가끔 교정학회나 선후배 모임에서
그런 사례가 있었다는 이야기를 들은 적이 있습니다.
가장 대표적이고 간단한 예로
앞니가 벌어진 경우에
고무줄을 앞니 두 개에 묶어서
벌어진 공간을 닫는 경우가 있었습니다.
저도 어린 시절 앞니가 벌어져서 나오는 바람에
벌어진 앞니가 콤플렉스였으니까요.
그 마음 충분히 이해합니다.
하지만 교정의사의 적절한 진단 없이
본인 스스로 교정치료를 진행하는 건
예상치 못한 결과와
심각한 부작용을 초래할 수 있습니다.
셀프 치아교정 시 나타날 수 있는 부작용
<1>
적절한 진단과 계획의 부재
치아교정은 환자의 치열과 구강상태에 따라
맞춤형 치아교정 계획이 필요합니다.
셀프로 교정을 시도하시는 분들은
자신의 치아 상태를 정확하게 평가할 수 없으며
전문적인 지식의 부재와
엑스레이 등의 검사도 시행할 수 없으므로
치주 질환과 같은 심각한 합병증이 발생합니다.
부작용들입니다.
<2>
부정확한 치아 이동
치아교정은
치아의 이동방향과 압력을 적절히 조절하여야
원하는 위치로 치아를 이동시킬 수 있습니다.
그러나 셀프로 교정을 시도하는 경우에
부정확한 치아 이동이 발생할 수 있습니다.
<3>
치아와 구강 문제 악화 가능성
치아에 과도한 힘이 작용되거나
교정장치를 잘못 사용하는 경우
치아와 잇몸에 상처가 날 수 있습니다.
특히 합병증에 대한 적절한 대응이
어려울 수 있습니다.
<4>
검증되지 않은 치과재료 사용의 위험성
특히 중국 직구 사이트 등에서 구매한 치과재료의
품질과 안정성은 그 누구도 보장해 주지 못합니다.
특히 소독이 되어있지 않은 재료의 사용은
구강 내 감염을 일으킬 소지가 다분합니다.
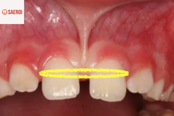
아래 두 사진은
셀프 교정을 시행하고 나타난
부작용들입니다.
벌어진 앞니를 교정하기 위해
고무줄을 양쪽에 끼웠다가
고무줄이 잇몸을 파고들어
잇몸 조직이 파괴된 케이스입니다.
잇몸 지지 조직이 무너져
치아가 돌출된듯한 모습을 하고있습니다.
위와같은 경우 또한
치아 이동의 토크와 벡터 등을 고려하지 않고
장치만 간단히 부착하면 된다고 생각하는 경우에
의도치 않은 매우 심각한 부작용이 생길 수 있습니다.
되돌릴 수 있는 합병증이 있는 반면
한번 발생하면 돌이킬 수 없는 경우도 존재합니다..ㅠㅠ
셀프 치아교정이 유행처럼 번지게 된 이유는 뭘까?
그럼 최근에 이런 셀프 교정을 비롯한
자가 치료가 유행처럼 번지게 된 이유는
무엇일까요?
제가 생각하는 가장 중요한 이유로는
SNS나 인터넷 사이트에서 보이는
과도한 광고 마케팅이
일반인들에게 잘못된 인식과 지식을
심어준 것이라고 생각합니다.
특히나 블로그, 인스타그램, 유튜브 등의
다양한 매체를 통하여
소위 '어그로'를 끌기 위한 수단으로
이러한 셀프교정이 언급되기 시작한 것 같습니다.
심지어는 '셀프 스케일링'을 홍보하는
치과의사들도 자주 보이는 것 같은데요.
사실 스케일링의 원리 자체가 어려운 것은 아니지만
그럼에도 치과에서 진행해야 하는 이유는
치석과 잇몸 구조에 대한 전문적인 지식이
일반인들에게는 부족하기 때문에
제대로 된 치석제거가 시행되기 어렵고
부작용이 나타날 수도 있기 때문입니다.
또한 최근 특히
'투명교정'이라는 이름으로
인터넷을 통하여 판매되는 여러 기성품들을
쉽게 찾아볼 수 있습니다.
일시적으로 치료가 되는 것 같은 느낌이
들 수 있지만
적절한 진단과 치료 계획 없이
이러한 장치를 이용하게 된다면
예상치 못한 부작용이 생길 가능성이 높아집니다.
오늘의결론
치아교정은 환자 각자의 개별적인 상황과
필요에 맞게 환자 맞춤형으로 계획돼야 합니다.
따라서 안전하고 효과적인 치아교정을 위해서는
반드시 교정 전문의의 도움을 받는 것이 좋습니다.
그럼에도 치아교정은 큰 비용이 드는 치료이다 보니
특히 이러한 현상이 생기는 것으로 보입니다.
치열과 잇몸이 무너지는 것은 순간이지만
다시 회복하는 것은 몇 배 이상의 노력과 시간이 걸리는 일입니다.
다들 외워주세요~
#셀프교정
#셀프치아교정
#셀프스케일링
#서이추
#서이추환영