간편 회원가입

간편 회원가입을 하시면 리얼한 치료 전후사진을 확인하실 수 있으며 브라우저 창을 닫으면 자동으로 회원탈퇴 처리됩니다.

간편 회원가입

교정 이야기
앞니가 거꾸로 물리는 주걱턱 반대교합 / 8세 남자아이 2025.04.03

본문

d1d86fa678bc9afe4b079fc3bd0a6047_1743647419_5797.png




오늘 살펴볼 케이스는

소아교정에서 흔히 볼 수 있는

앞니 반대교합 케이스 입니다.

많은 보호자분들께서

근심 어린 눈빛과 걱정스러운 목소리로 


"우리 아이가 주걱턱인가요?

앞니가 거꾸로 물리는 것 같은데

교정 해야하는거죠?"


라며 교정치과에 내원하십니다.

저는 개인적으로 너무 이른 시기의 교정치료를

선호하지는 않습니다만

앞니가 거꾸로 물리는 경우는 예외입니다.


앞니가 거꾸로 물리는 반대교합의 경우

성장기 아이들의 정상적인 얼굴뼈 성장에

큰 영향을 줄 수 있기 때문에

정상적인 교합 형태로 만들어 주는 것이

향후 바른 얼굴을 만드는데

도움을 줄 수 있습니다.


주걱턱 반대교합 케이스의 경우

교정치료 시기에 대해서는

저번 포스팅에서 한번 다뤄본 적이 있습니다.


https://blog.naver.com/saeroi_dental/223269501508


오늘 케이스는

위 포스팅에서 다뤘던 아이 중 한 명입니다.


전형적인 주걱턱과 반대교합의 경향을 가지지만

그 증상이 매우 심하지는 않은 케이스여서

간단하게 소개하고자 합니다.


케이스 개요

8세 남자아이입니다.


d1d86fa678bc9afe4b079fc3bd0a6047_1743647770_1262.png


정면 모습에서는 크게 잘못된 점을

찾기가 어렵습니다만


d1d86fa678bc9afe4b079fc3bd0a6047_1743647783_8723.png


웃을 때 보이는 치열의 모습이

위아래 앞니가 거꾸로 물리면서

심미적으로 바른 미소를 가지지 못합니다.


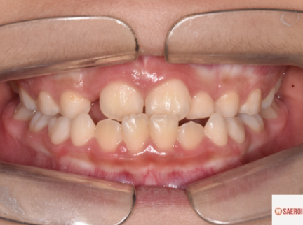
실제 구강 내 사진에서는

앞니 반대교합이 명확히 관찰됩니다.


d1d86fa678bc9afe4b079fc3bd0a6047_1743647982_5653.png



위아래 앞니가 거꾸로 명확히 물리고 있으며

송곳니와 작은 어금니 부위의 반대교합도

동시에 관찰됩니다.


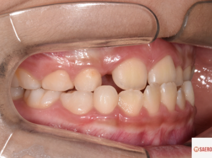
d1d86fa678bc9afe4b079fc3bd0a6047_1743648007_4704.png

큰어금니 부위의 반대교합 경향도 보여서

위턱과 아래턱 폭의 부조화도 관찰됩니다.


d1d86fa678bc9afe4b079fc3bd0a6047_1743648027_5832.png


파노라마 사진상에서 치아 맹출 공간이

부족해 보이는 것을 알 수 있으며

/

측면 엑스레이에서는

거꾸로 물리는 앞니가 명확히 관찰됨과 동시에

위턱의 저성장과 아래턱의 과성장으로 인해 발현된

주걱턱 모습을 확인할 수 있습니다.


케이스 설명


사실 이 환자는 영구치 앞니가 거꾸로 나오는 시기인

만 6세 즈음 치과에 내원하였었습니다.


하지만 본인이 왜 치료를 해야 하는지,

교정장치를 어떻게 착용해야 하는지에 대한

이해도와 협조도가 떨어져서 시기를 미루다가

8세 정도에 시작하게 된 케이스 입니다.


이러한 주걱턱 부정교합의 경우 치료방법은

아래 왼쪽과 같은 구외장치를 착용하여

상악골의 성장을 직접적으로 유도하는 방법이 있고

아래 오른쪽과 같은 구내장치를 사용하여

구강 주변 근육의 활성화를 통해

악골을 올바른 위치로 이동시키는 방법이 있습니다.

 

왼쪽은 구외장치 중 하나인 페이스마스크(facemask)이고

오른쪽은 구내장치 중 근기능장치인 프리올소(preortho)입니다.


d1d86fa678bc9afe4b079fc3bd0a6047_1743648100_3933.png



구외, 구내 중 어떤 장치를 써야 하는지는

아이들의 성장 발육 정도와 성장 단계,

악골의 부정교합 정도, 치열의 각도 등등을

모두 고려하여 결정하게 됩니다.


이번 케이스의 경우

위턱의 성장이 저조하여 직접적인 성장을

촉진시켜주는 것이 나아 보였고

점차 큰 장치에 대한 부담감이 사라지게 되어

부족한 악궁의 폭을 확장시켜줌과 동시에

페이스마스크를 통하여 상악의 전진을 유도하였습니다.


장치 착용은 6개월 동안 하였습니다.


케이스 결과



왼쪽이 교정 전 오른쪽이 교정 후입니다.

d1d86fa678bc9afe4b079fc3bd0a6047_1743648137_3193.png


정상적인 앞니 덮임을 보여주고 있습니다.


가운데 앞니 양옆으로

치아가 나올 공간이 부족했었으나

상악 악궁 확장을 동시에 시행하여

양측 두 번째 앞니가 잘 내려오고 있습니다.

이는 아래의 파노라마 사진에서도 확인할 수 있습니다.


d1d86fa678bc9afe4b079fc3bd0a6047_1743648157_5063.png


앞니 뿐만 아니라 작은어금니와 큰어금니에서도

정상적인 치아 덮임을 보여줍니다.


d1d86fa678bc9afe4b079fc3bd0a6047_1743648187_6008.png

미소 시 보다 심미적인 

위아래 앞니 관계를 보입니다  



d1d86fa678bc9afe4b079fc3bd0a6047_1743648210_4055.png



악궁의 확장으로 인해

부족했던 치아 맹출 공간이 확보되어

나오지 못하고 있던 영구치들이 바르게 맹출 중임을

확인할 수 있습니다.


d1d86fa678bc9afe4b079fc3bd0a6047_1743648261_5518.png

측면 엑스레이 상에서도

위 앞니가 아래 앞니를

정상적으로 덮게 됨을 볼 수 있고

이 과정에서 앞니의 각도가

정상으로 바뀌게 되었습니다.


코 옆면인 중안면의 뼈가 전방으로 성장 촉진되면서

얼굴의 볼륨감이 살아나게 되었습니다.



케이스 결론


어린 나이에서의 주걱턱 경향은

비단 해당 시기의 심미적인 문제뿐만이 아니라

자존감과 사회성 형성에도 영향을 주며

특히 정상적인 악골 성장에 지대한 영향을 끼칩니다.

적절한 악골의 위치는

초, 중, 고를 거치면서 발현되는

턱뼈 성장의 방향성에 길잡이가 되어줍니다.

여러분의 자녀가 반대교합이 보인다거나

주걱턱 경향이 관찰된다면

주저하지 마시고 가까운 교정전문치과에

내원하시길 권유 드립니다.