교정 이야기
임신했는데 치아교정해도 괜찮나요?
2025.11.21
본문
치아교정은 보통 약 2년 내외의 시간이 소요됩니다.
훨씬 짧은 기간의 경우(ex.부분교정)도 있지만
전체 치열을 움직여야 하는 일반적인 교정은
꽤 긴 시간을 필요로 합니다.
이처럼 치아교정치료는
다른 의학적 시술 및 수술들과는 다르게
긴 치료 기간을 필요로 하다 보니
그 기간 동안 예상치 못한 일들이 일어나곤 합니다.
오늘은 교정치료 중 '임신'한 경우
교정치료와 임신이 서로 영향을 주는지에 대해
알아보겠습니다.
물론, 아직 교정도 시작 안 했고 임신부도 아니시지만
추후에 이러한 일들을 겪으실 수도 있으신
예비교정인, 그리고 예비임산부들도
자세히 읽어주시길 바랍니다^^
임신과 치아교정이 관련 있나요?
결론부터 미리 말씀드리자면
교정치료와 임신은 서로 상관관계가
없습니다.
네. 임신 중에 교정치료를 진행하셔도 무방하고,
반대로 교정치료 중에 임신을 하셔도 전혀 전혀
상관없습니다.
치아 이동도 전혀 문제없이 잘됩니다.
에이~ 그래도 서로 아무 관련이 없다구요??
누가 그러던데 임신 중에는 잇몸이 나빠진다는데요...?
음... 네 관련은 없는데
음.. 굳이 말씀드리자면
주의하셔야 할 점들,
그리고 알고 계시면 좋을만한 점들이 있기는 합니다.
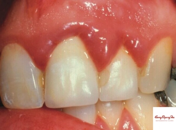
임신 중 잇몸 관리
많이들 들어보셨을 겁니다.
임신을 하게 되면 잇몸이 많이 상한다구요.
잇몸에서 종종 피도 나고, 이도 흔들거리는 거 같고
잇몸이 붓는 것 같기도 하고..
실제로 호르몬의 영향으로 인해
잇몸이 붓게 되는 건 맞습니다.... 만!!
그 양이 매우 작기 때문에
꼭 호르몬 때문에 잇몸이 나빠진다고는 말할 수 없습니다.
그보다 임신 중 잇몸에 악영향을 끼치는 건
구강관리의 소홀함입니다!
많은 임산부들이
몸이 무거워지고 기력이 나빠지면서
임신 전에는 열심히던 양치질을 비롯한 구강관리에
소홀하게 됩니다.
그로 인해 잇몸이 나빠지는 경향이 커지게 되는 거죠.
그 이유로 임신하면 잇몸이 나빠진다는 이야기가
여기저기서 나오게 된 겁니다.
특히, 치아교정을 임신과 동시에 진행하게 되면
아무래도 충치가 생길 가능성이 더 커지기 때문에
더욱더 신경 써서 양치질을 해주셔야
건강한 치아 및 잇몸을 유지할 수 있습니다.
교정치료와 관련된 기타 다른 치과치료는 임신 중에 진행해도 괜찮나요?
교정치료가 임신과 상관이 없다는 건 OK!
그럼 다른 피가 나는 치과치료들
(ex. 발치, 미니스크류 등등)도 괜찮은지
궁금해하실 수 있습니다.
실제로 많은 임신분들께서
제일 많이 물어봐 주시는 부분입니다.
교정 중 필요에 의해서
치아를 발치해야 하는 경우가 있는데
이럴 때 먼저 찍어야 하는
엑스레이도 걱정이 되고
그다음 마취제 성분도 걱정이 되고,
발치 후 먹는 항생제나 진통제도
의심스러울 수 있습니다.
치과에서 촬영하는 엑스레이는
일반 의원에서 복부 등을 촬영할 때 사용하는
엑스레이에 비하여
방사선 노출량이 매우 매우 극소량입니다.
대략 치과 엑스레이가
십만 분의 1이라고도 이야기합니다.
즉, 치과용 방사선은 매우 안전합니다.
그래도 태아에 미치는 영향을
무시할 수는 없기 때문에
꼭 찍어야 하는 경우가 아니라면 촬영을 피하고
꼭 찍어야 한다면 방사선 촬영용 납복을 착용하고
촬영하게 되면 보다 안전합니다.
또한 치과에서 사용하는 국소마취제는
대부분 리도카인(lidocaine)이라는 성분으로
이루어져 있는데
이는 매우 긴 역사를 가진 국소마취제 성분으로
임신과 상관이 없다는
많은 연구결과를 가지고 있습니다.
가끔 발치 후 약을 복용하시는 경우가 있는데
항생제와 진통제 모두 태아에 영향을 주지 않는
타이레놀과 세파계열 항생제는 상관없습니다만
웬만하면 약 복용을 권해드리지 않습니다.
아무리 안전하다 해도
가장 좋은 건 안 먹는 거겠죠.
이처럼 치과치료는 태아에 문제가 되지 않지만
그래도 가장 안전하게 진행하고 싶으시다면
임신 1~3기 중
2기에 해당하는 임신 4개월~6개월에
해당 치료를 진행하시면
보다 더 안전하게 치료를 받으실 수 있습니다.
이때는 태아와 임산부 모두
안정기에 접어들기 때문입니다.
오늘의 결론
교정치료와 임신은 관계가 없다.
치아 이동도 원활하게 잘 진행된다.
임신 중 양치질을 열심히 하고
구강관리에 더 신경을 쓰는 게 좋다.
웬만하면 교정 중 발치는 안 하는 게 낫겠다.
안전한 약물을 이용하긴 하지만
그래도 안 하는 게 마음이 더 편하기 때문이다.
굳이 해야 된다면 임신 2기 때 하는 게 안전하다.
끝!
+덧붙이는 말)
저는 개인적으로
임신 중에 교정치료를 진행하는 것이
여러모로 낫다고 생각하는데요.
주변에서 치아교정을 미루고 미루다 결국
못하게 되는 분들을 많이 보게 됩니다.
특히 아이를 낳게 되면 삶은 급속도로 빠르게
흘러가게 되죠.
평균 교정 기간은 1~2년이므로
임신과 동시에 교정 시작 시 아기가 돌이 되기 전에
교정치료가 끝날 수 있게 됩니다.
그리고 임신 중에 주기적으로
산부인과를 내원하는 일정과
교정치과를 내원하는 일정을 동기화 시켜 놓으면
보다 수월하게 교정치료가 진행되게 될 것입니다.