주걱턱
10대
2025.02.25
주걱턱
10대
본문
선천적으로 영구치가 없어 잔존유치가 많이 존재하는 경우는 지속적인 경과관찰을 통해 발치시기를 정하고 임플란트 식립을 미리 계획하고 있어야 합니다. 경우에 따라 잔존유치를 꽤 오래 사용하는 경우도 있으나 짧은 뿌리 길이로 인해 곧 빠리게 되기 때문입니다.
하지만 임플란트는 성장이 완료된 성인에서만 시행 가능하므로 성장기의 학생들은 이 공간을 잘 유지하여 성인이 된 이후에 보철치료를 들어가는 것이 좋습니다.
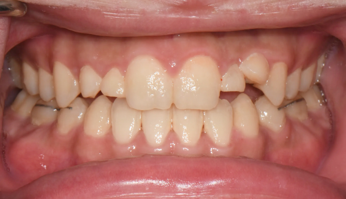
해당 케이스는 주걱턱 경향과 함께 앞니 일부와 송곳니에 영구치가 없어 유치로 유지해야 하는 학생입니다.
일단 주걱턱을 해소하고 가지런하지 못한 앞니를 배열해주었습니다. 교정치료는 20개월 소요되었으며, 교정치료 완료 시 보철치료를 권유하였으나 스스로 현재 상태에 만족한다고 하여 잔존유치의 보철치료는 추후에 하기로 하였습니다.
- NEXT석**





