주걱턱,
돌출입,
덧니
20대
2025.02.25
주걱턱,
돌출입,
덧니
20대
본문
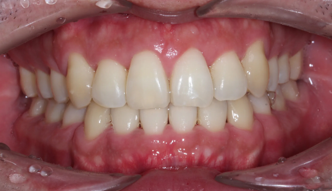
주걱턱과 돌출입, 그리고 덧니를 한꺼번에 가지고 있는 경우입니다. 이 모두를 해결하기 위해서는 필요한 공간의 양이 많기 때문에 성인에서는 작은어금니 발치가 대부분 필요합니다.
교정치료를 통해 치열이 고르게 된것은 물론, 주걱턱과 돌출입이 개선되면서 입술 모양이 보다 더 자연스러워지고 안모가 개선되었습니다.
총 교정치료는 21개월입니다.









