반대교합
10대
2025.02.25
반대교합
10대
본문
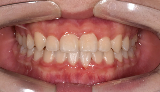
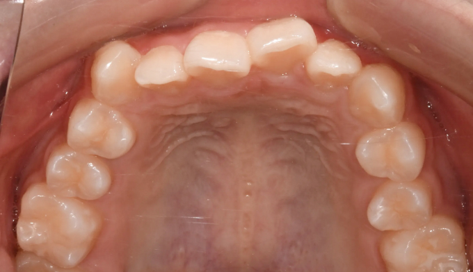
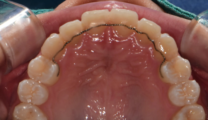
주걱턱, 그리고 앞니가 거꾸로 물리는 ‘반대교합’은 비슷한 말이 아닙니다. 서로 전혀 다른 원인과 치료 방법을 가지고 있습니다.
주걱턱은 턱 자체의 길이가 긴 경우이고, 반대교합은 위아래 앞니 사이의 관계를 지칭하는 말입니다.
턱뼈의 성장이 정상인 경우에는 턱교정 필요없이 앞니만 제대로 넘겨주면 훨씬 간단하고 효율적인 교정치료가 가능합니다.
본 케이스의 홙자는 턱뼈의 모든 수치가 정상이었으므로 치아만 적절히 교정하여 안모의 개선까지 만들어낸 경우입니다. 교정기간은 11개월 소요되었습니다.





