비대칭
20대
2025.02.25
비대칭
20대
본문
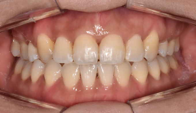
안면 비대칭의 원인은 매우 많습니다. 일반적으로 좌우 턱뼈의 길이 차이부터, 근육의 활성도 차이, 교합 이상, 악관절 이상으로 인한 비대칭까지, 많은 이유로 비대칭이 발생하며 이러한 비대칭의 원인을 아는것이 이를 해소하는 방법에 우선시 되어야 합니다. 턱뼈 길이에 의한 차이가 심한경우에는 아무리 교정치료를 한다고 비대칭이 해소되지 않습니다. 그런 경우는 뼈 길이 자체를 바꾸는 양악수술이 답일 수 있습니다.
해당 환자는 턱뼈의 길이보다는 성장기의 교합 불균형으로 인해 턱이 한쪽으로 틀어져서 자라게 된 경우입니다. 이런 경우 치아교정만으로도 어느정도 비대칭이 해소될 수 있습니다. 좁아진 악궁을 확장하고 교합을 안정화시키는 과정을 거쳤습니다. 총 교정기간은 19개월입니다.





