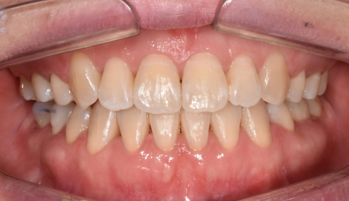
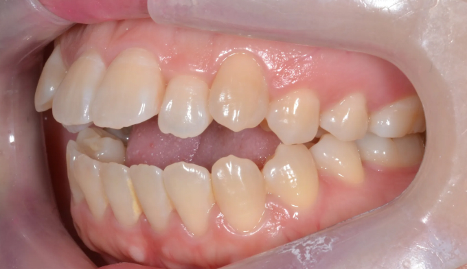
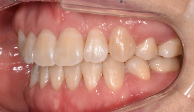
돌출입,
무턱,
개방교합
30대
2025.02.25
돌출입,
무턱,
개방교합
30대
본문
돌출입과 개방교합이 동시에 있는 경우에는 발치교정을 통해 앞니를 넣어주면 개방교합이 쉽게 개선됩니다. 이때 주의할점은 미소시 치아의 노출정도입니다. 또한 개방교합의 경우에는 재발 경향이 높기 때문에 주기적인 경과관찰이 필요하며 최종위치에 안정적으로 치아가 위치해있다고 판단이 들었을 때 교정치료를 종료하여야 합니다.
총 교정기간은 25개월입니다.











