가위교합
10대
2025.02.25
가위교합
10대
본문
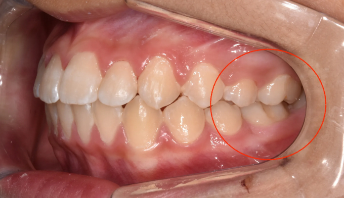
윗니 아랫니가 제대로 물리지 않고 사진에서 표시한 부위처럼 엇갈려서 물리는 경우를 가위교합이라고 합니다.
가위교합은 정상적인 교합이 이루어 지지 못하기 때문에 씹는 효율이 급격히 낮아질 수 밖에 없고, 주변 잇몸조직에도 악영향을 끼칩니다. 심한경우에는 얼굴의 비대칭을 유발하기도 합니다.
나머지 치열들이 양호하다면 굳이 전체교정을 하지 않고 해당부위만 부분교정으로 치료가 가능합니다.
쓰러져있는 치아들을 제위치로 옮겨주면 어렵지 않게 마무리할 수 있습니다.
총 교정기간은 5개월 입니다.

