재교정
10대
2025.02.24
재교정
10대
본문
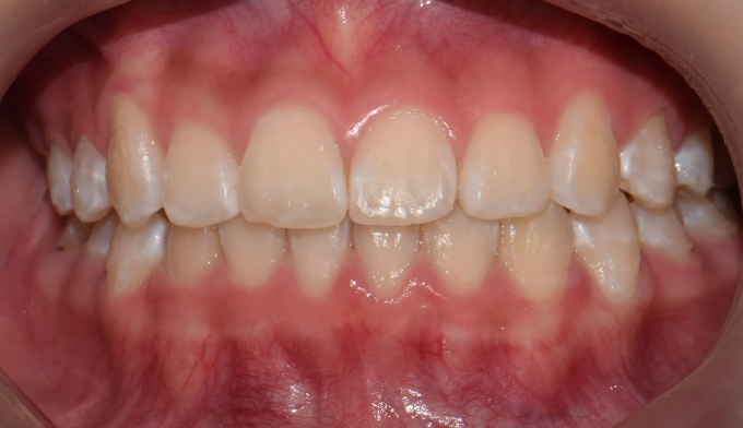
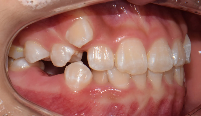
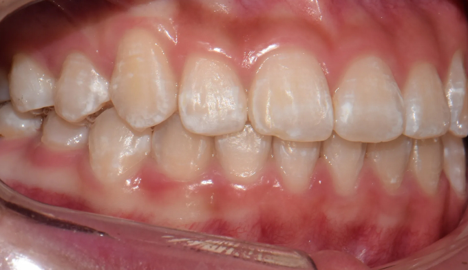
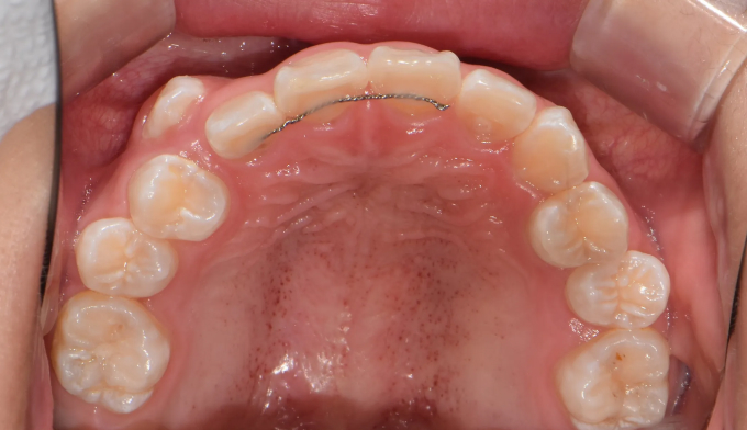
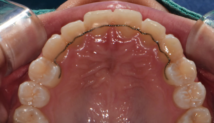
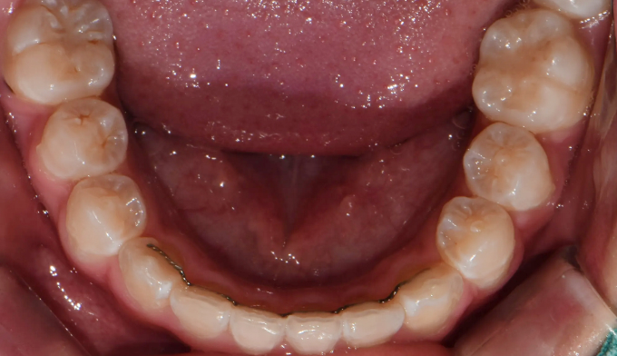
초등학생때 1차교정을 통해 앞니만 배열하였다고 했습니다.
진단해보니 송곳니가 나올 공간이 부족하여 2차교정을 진행하였습니다.
그래도 1차교정을 통해 공간을 어느정도 확보해 놓은것이 2차교정을 더 수월하게 해줍니다.
남아있는 공간을 최대한 활용하여 발치없이 치아를 배열해줍니다.
교정기간은 14개월 소요되었습니다.







