무턱,
돌출입
30대
2025.02.24
무턱,
돌출입
30대
본문
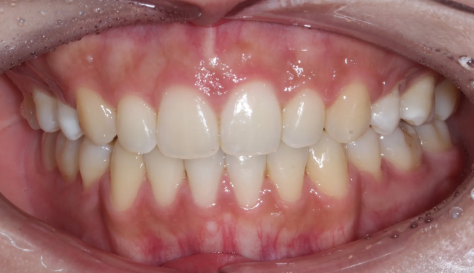
두꺼운 입술은 상대적으로 입을 더 나와 보이게 만듭니다. 그와 동시에 무턱경향까지 존재한다면 돌출감은 배가 됩니다. 돌출된 치열을 후방이동 시켜주고 후퇴되어보이는 아래턱을 전방이동시켜준다면 돌출입은 어렵지 않게 개선됩니다. 입술의 두께는 평상시 모습 뿐만 아니라 웃을때의 두께도 꼭 고려하여 치아이동을 계획해야 합니다. 총 교정기간은 20개월입니다.







