돌출입
10대
2025.02.24
돌출입
10대
본문
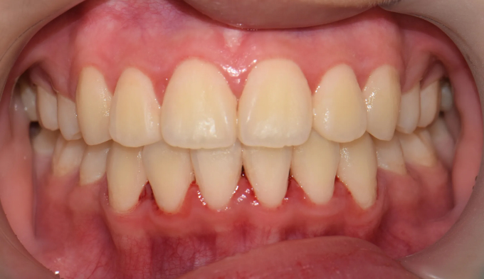
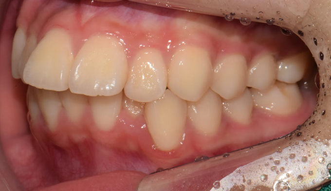
돌출입교정은 교정 전후 변화가 가장 큰 치료이므로 교정이후의 만족도가 높은 치료 중 하나입니다.
단순히 이만 가지런해지는것이 아닌, 얼굴의 분위기를 바꿀 수 있습니다.
돌출입은 입을 스스로 다물수가 없어 항상 벌리고 있게 되며, 뚱한 인상을 줄 수 있습니다.
교정 이후에는 자연스러운 입매와 얼굴을 갖게 되므로 심미적으로 이로운점이 많습니다.
총 교정기간은 21개월 소요되었습니다.







