주걱턱,
반대교합
소아
2025.02.24
주걱턱,
반대교합
소아
본문
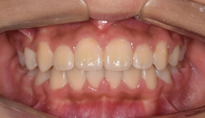
반대교합의 정도가 심하지 않아 간단한 교정만으로 해결이 가능할것으로 생각됩니다.
하지만 안모검사상 주걱턱 수치가 높게 나와 성장교정치료가 필요한 경우입니다.
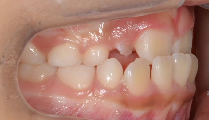
페이스마스크와 악궁확장치료를 시행하고 이후 앞니를 배열해 줍니다.
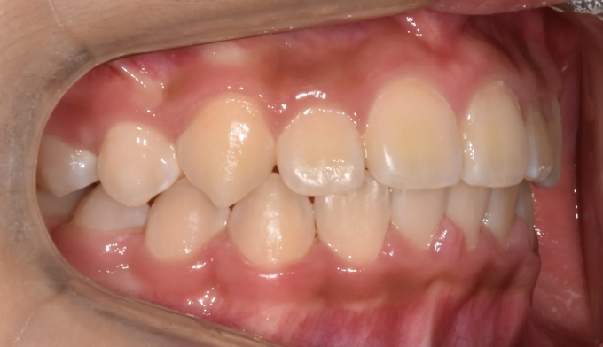
나머지 영구치가 잘 나오면 2차교정치료는 필요없습니다.
1차교정만 9개월 소요되었고, 2차교정은 하지 않았습니다.





