반대교합
소아
2025.02.24
반대교합
소아
본문
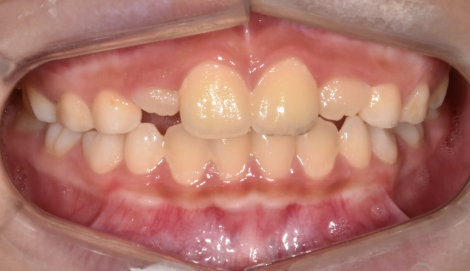
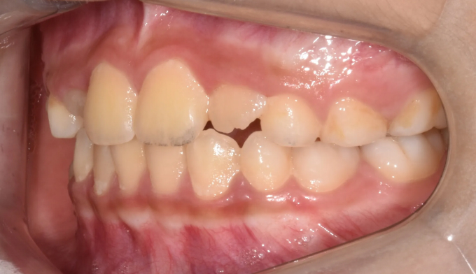
앞니가 거꾸로 물리지만 위턱과 아래턱뼈 검사상 정상 수치를 보이는 경우입니다.
이런 경우 간단한 근기능장치 교정으로 앞니교합을 정상으로 만들어줄 수 있습니다.
4개월간의 장치 착용으로 앞니가 정상적인 교합으로 형성되었고 이와 더불어 안모도 개선되었습니다.
하지만 반대교합이었던 아이들의 경우 아래턱의 성장을 주기적으로 관찰하여야합니다.
특히 급격한 성장기에 도달하게 되면 아래턱도 함께 자라는 경우가 있기 때문에 정기적인 검사가 필요합니다.







