반대교합
소아
2025.02.24
반대교합
소아
본문
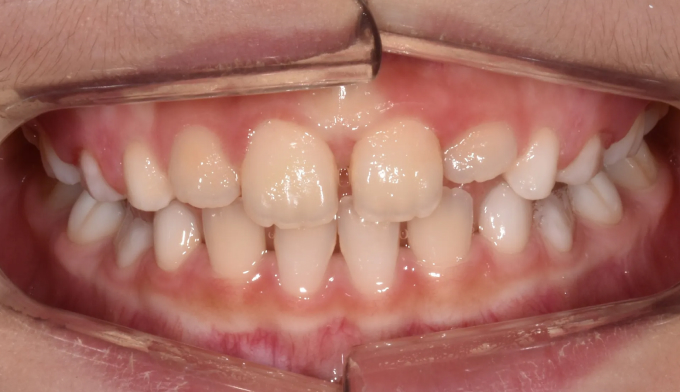
구강내 사진만 확인하였을때는 앞니가 거꾸로 물리는 반대교합이 심해 주걱턱 경향도 심할것으로 예상됩니다.
하지만 엑스레이 분석시 주걱턱 수치는 정상수치에 가깝습니다.
이런 경우 무리하게 성장교정을 진행하기 보다는 거꾸로 물리는 앞니만 간단히 넘겨주는 치료만으로도 충분합니다. 프리올소와 같은 근기능장치를 이용하여 3,4개월이면 금세 반대교합이 해소됩니다.
6개월간의 장치 착용 후 반대교합이 해소되었고, 앞니가 넘어오면서 안모도 개선되었습니다.
그리고 앞으로의 성장을 지켜보며 추가적인 교정치료 여부를 결정하면 됩니다.



