주걱턱,
반대교합
소아
2025.02.24
주걱턱,
반대교합
소아
본문
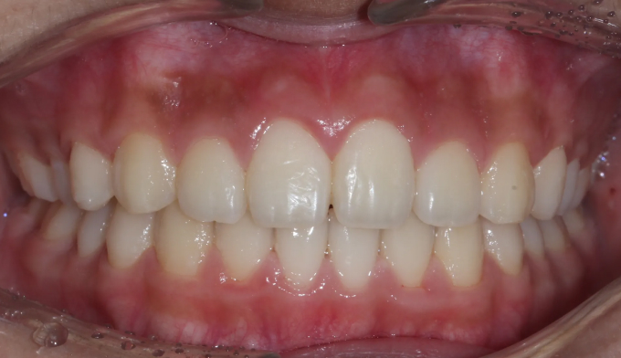
안모상으로 주걱턱 경향은 심해보이지 않고, 앞니의 약간의 반대교합만 관찰됩니다.
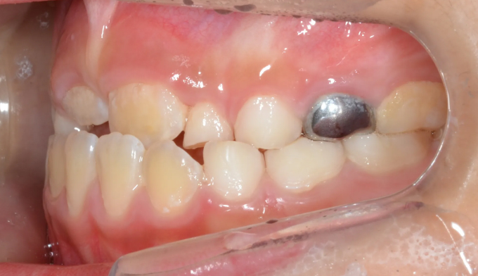
하지만 옆모습 엑스레이 분석시 주걱턱 수치가 높게 나와 성장교정이 필요한 케이스 입니다.
아래턱의 성장방향을 하방으로 바꿔주면서 상악의 전방견인을 시행하였습니다.
반대교합 교정은 심미적인 이유 뿐만이 아니라 기능적으로도 성장기의 아이들이 보다 더 편한 교합을 만드는데 유리합니다.
초등학교 2학년때부터 6학년때까지 진행되었습니다.





