주걱턱,
개방교합
소아
2025.02.24
주걱턱,
개방교합
소아
본문
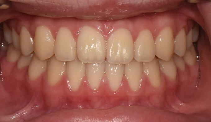
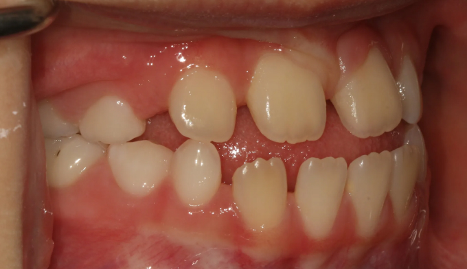
개방교합과 주걱턱을 동시에 가지고 있는 경우입니다. 아래턱 성장속도가 급격하면 하악 성장 방향이 아래방향으로 변하면서 개방교합까지 나타나는 경우가 있습니다. 빠른 교정이 필요합니다.
좁은 위턱을 확장해주고 배열해주면서 상악의 성장을 촉진시켜줍니다. 그러면서 동시에 아래턱의 성장방향을 조절해주어야 합니다. 그리고 계속 성장을 관찰해야 합니다.
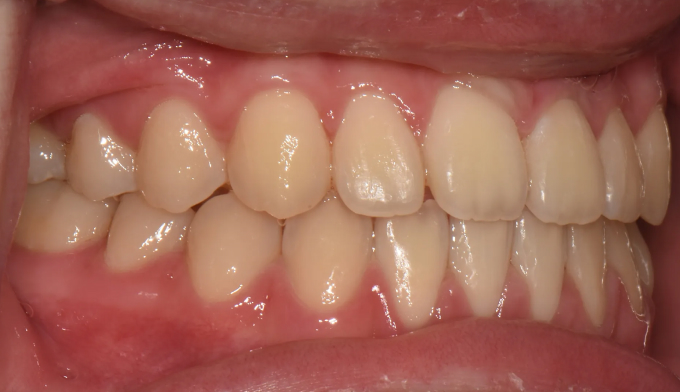
초등학교 1학년때 시작한 교정이 5학년이 다되어서 마무리 되었습니다.
그 기간동안 지속적으로 교정치료를 진행하는것이 아니라 성장을 관찰하는 기간이 포함됩니다.
주걱턱이 심한경우 페이스마스크치료는 1번이상 시행 가능합니다.







