무턱,
토끼이빨
소아
2025.02.24
무턱,
토끼이빨
소아
본문
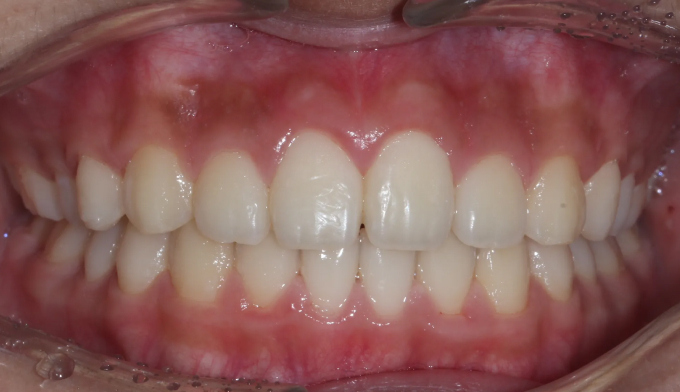
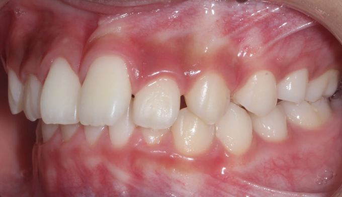
앞니가 긴 토끼이빨 모양을 하고 있습니다. 하지만 이보다 더 중요한점은 아래턱의 성장이 위턱에 비해 너무 느리다는것입니다. 무턱의 경향을 보이고 있습니다.
위턱과 아래턱이 성장이 조화로워야 보다 더 자연스럽고 바른 안모를 가지게 됩니다.
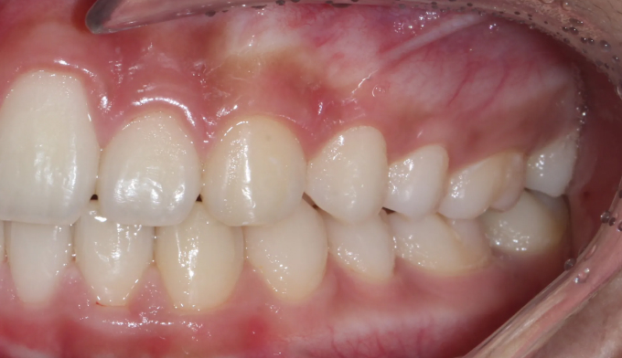
성장조절장치를 이용하여 아래턱의 성장을 촉진시킴과 동시에 가지런하지 못한 앞니의 배열을 시작하였습니다.
교정기간은 16개월입니다.







