매복치
소아
2025.02.11
매복치
소아
본문
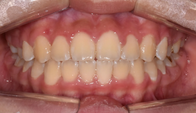
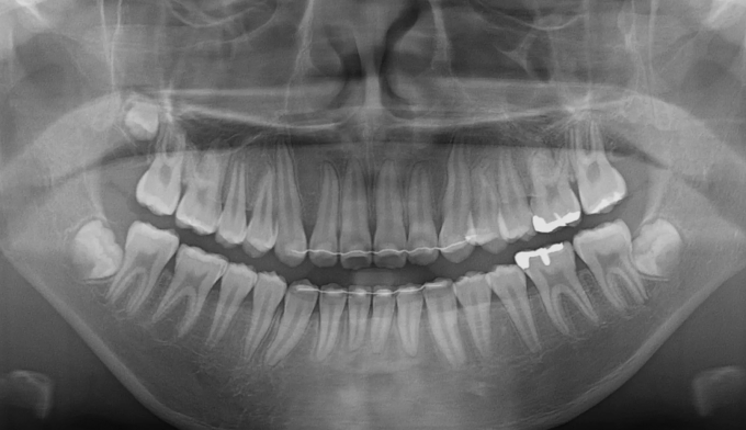
유치를 제때 뽑아주지 못하면 치아 맹출 순서가 뒤죽박죽이 되면 잇몸 안에서 맹출하지 못하게 됩니다.
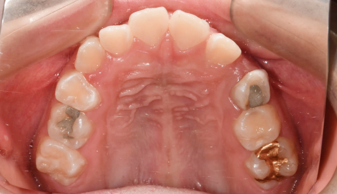
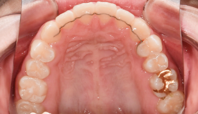
본 케이스처럼 아예 치아의 각도가 누워버린 경우에는 억지로 교정장치를 부착하여 치아를 제 위치로 당겨주어야 합니다.
잇몸의 일부를 절개하여 교정장치 부착후 치아를 견인하였고 총 치료기간은 16개월입니다.
잠깐의 고생이지만 살려놓은 치아는 평생쓸 수 있는 자산입니다.





