반대교합,
주걱턱
소아
2025.02.24
반대교합,
주걱턱
소아
본문
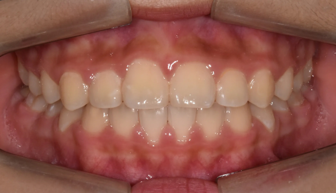
안모상으로는 반대교합도, 주걱턱도 심해보이지 않습니다.
하지만 엑스레이 검사시 주걱턱 경향이 심한 경우로 성장조절을 시작하였습니다.
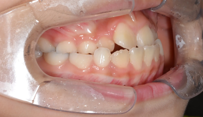
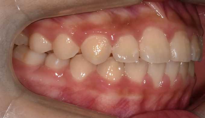
1차교정 후 영구치가 다 나올때까지 지켜본 결과 1차교정으로 인해 보다 더 자연스러운 안모를 가지게 되었다고 생각합니다. 위턱이 아래턱 안에 갇혀있게 된다면 중안면부위의 결핍이 주걱턱 경향을 더 심하게 만들 가능성이 높기 때문입니다.
- NEXT이**





