공간부족,
돌출입
10대
2025.02.24
공간부족,
돌출입
10대
본문
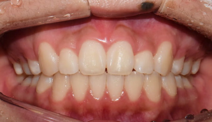
덧니와 돌출입이 동시에 있는 경우, 윗니만 선택적으로 발치하는 방법이 종종 이용됩니다.
치료효과면에서 드라마틱한 전후변화가 나타나기에 많은 학생들이 선호합니다.
교정기간에서도 이점이 있으므로 적절하게 선택한다면 좋은 결과를 만들어낼 수 있습니다.
총 치료기간은 16개월 소요되었습니다.

