매복치,
덧니
10대
2025.02.24
매복치,
덧니
10대
본문
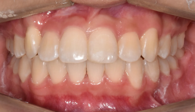
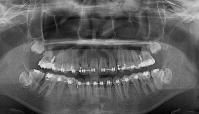
한쪽에는 덧니, 다른 한쪽에는 매복치가 있는 케이스입니다.
매복치의 방향이 수평으로 누워있기 때문에 저절로 구강내로 맹출하지는 못합니다.
따라서 잇몸 절개 후 교정장치를 부착하여 치아를 견인해주어야 합니다.
성인이라면 그냥 무시하고 지낼 수 있지만, 어린나이의 성장기 아이들의 경우에는 교정기간을 투자하는게 긴 인생을 봤을 때 교정치료를 하는게 가치있는 일이라고 생각합니다.
총 치료기간은 17개월 소요되었습니다.



