앞니불규칙,
재교정
30대
2025.02.24
앞니불규칙,
재교정
30대
본문
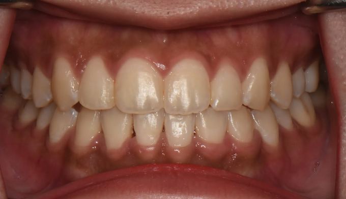
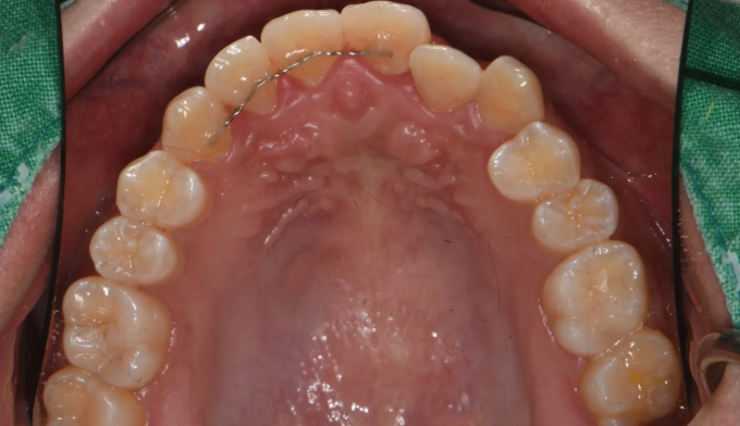
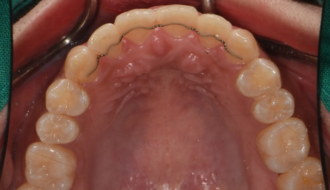
치아 안쪽에 보이지 않게 붙여놓는 고정식 유지장치는 치아를 제자리에 잘 유지되게 해줍니다. 이러한 유지장치가 떨어지거나 끊어지게 되면 치아는 교정전 원래의 위치대로 돌아가려는 습성으로 인해 틀어지게 될 수 있습니다. 탈락이후 시간이 많이 지체되지 않았다면 다시 유지장치를 부착하면 되지만, 떨어진지 오래된 경우 재교정이 필요한 경우가 있습니다.
유지장치가 끊어진 특정 치아만 간단히 부분교정으로 해결 가능한 경우입니다. 교정기간은 3개월 소요되었습니다.



