앞니덧니
20대
2025.02.24
앞니덧니
20대
본문
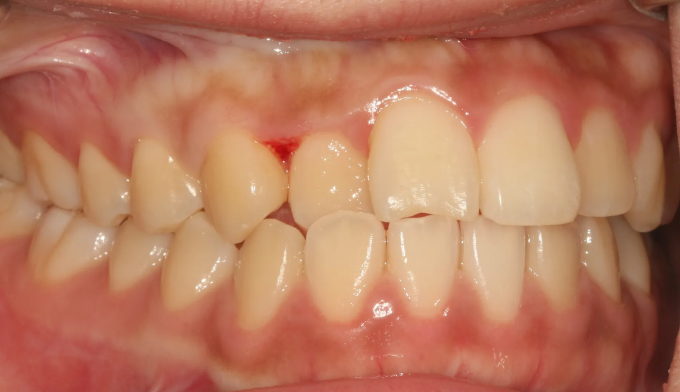
앞니 하나만 안쪽으로 들어간 덧니의 경우, 해당 치아를 이쑤시개 모양으로 삭제한 다음, 크라운이라는 보철물로 씌워버리는 치료가 종종 시행됩니다. 가장 간단하고 간편한 방법이기 때문입니다. 하지만 그렇게 손상이 가해진 치아는 평생이라는 긴 기간을 봤을 때 이상적이지 못하기 때문에 수명이 짧아질 수 밖에 없습니다.
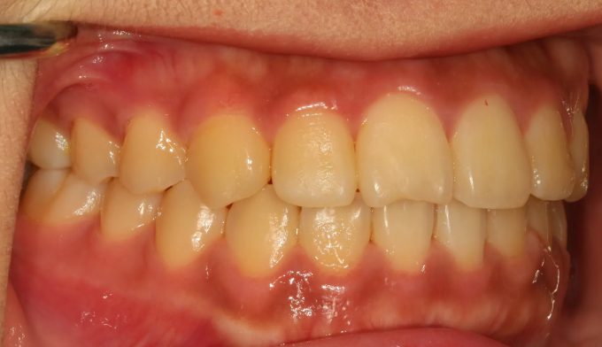
따라서, 이런 경우에는 교정치료를 통하여 들어간 앞니만 간단히 앞으로 뺴주면 치아 삭제 없이도 안정적으로 유지되는 교합을 형성해 줄 수 있습니다. 교정기간은 7개월 소요되었습니다.





