덧니
40대
2025.02.24
덧니
40대
본문
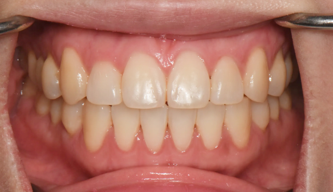
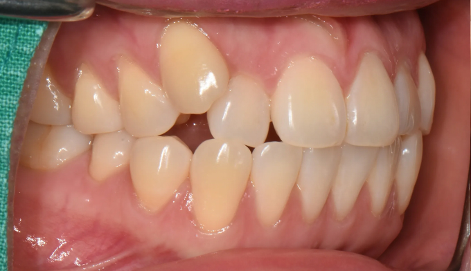
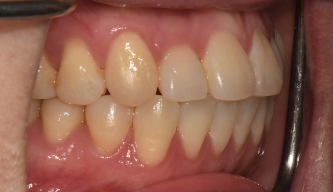
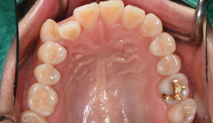
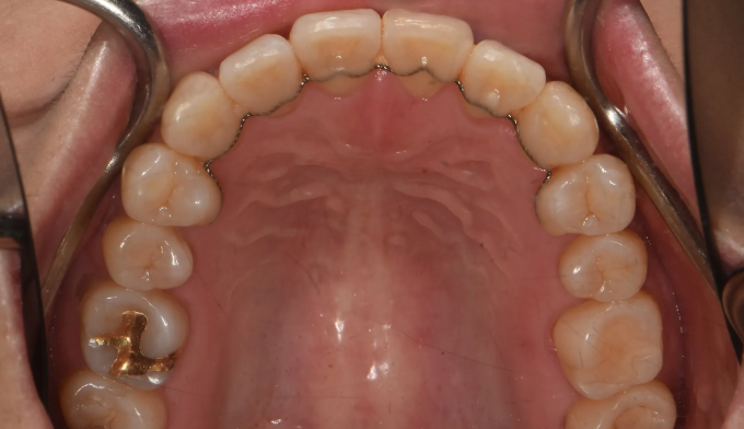
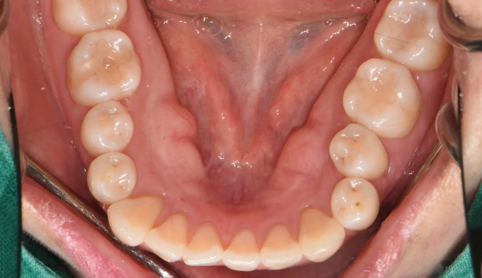
덧니는 배열될 공간만 만들어주면 쉽게 없앨 수 있습니다.
이러한 공간을 만드는 방법은 돌출입 정도와 입술의 두께, 앞니의 각도, 그리고 얼굴의 길이나 각도등을 종합적으로 고려하여 결정합니다.
본 케이스에서는 입술이나 얼굴상에 큰 문제가 없어 치열만 가지런히 하기위해 발치없이 어금니를 뒤로 이동시켜 덧니를 배열할 공간을 만든 후 손쉽게 덧니를 해소하였습니다.
총 치료기간은 13개월입니다.







