돌출입
20대
2025.02.11
돌출입
20대
본문
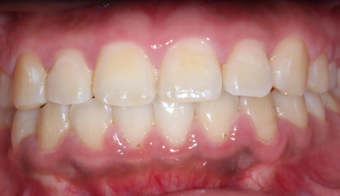
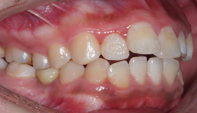
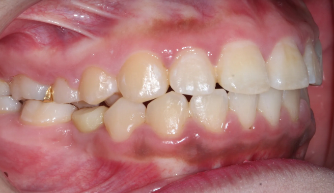
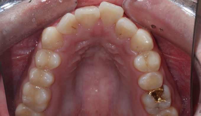
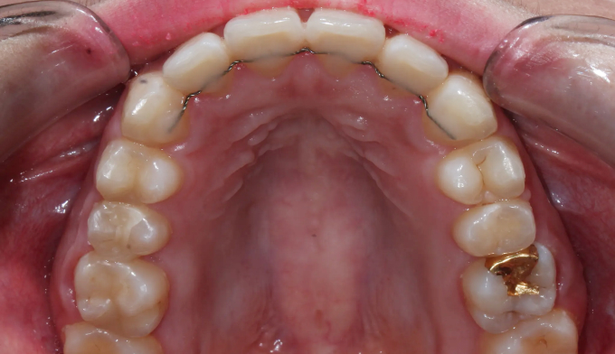
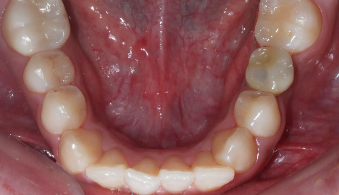
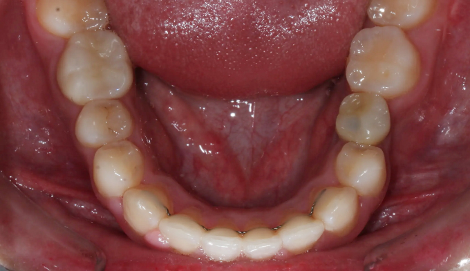
돌출입과 불규칙한 앞니를 가지고 있습니다. 그리고 아래쪽에 ‘임플란트’가 있습니다.
임플란트는 뼈와 강력히 결합되어 있기 때문에 교정치료로 절대 움직일 수 없습니다. 따라서 해당 부위는 절대 교정치료로 움직일 수 없다는 제한점이 있는 상태에서 교정치료를 진행하게 되었습니다.
돌출입을 해소하고 앞니를 가지런하게 만들기 위한 공간을 만드는 과정중에는 저 임플란트를 꼭 제거해야 했으나, 최대한 발치 없이 교정을 진행하였습니다.
후방이동이 불가하므로 악궁확장을 통하여 공간확보를 시도하였고, 동시에 돌출감도 해소되었습니다.
최종적으로 임플란트의 존재때문에 중심선을 맞추지는 못했으나 환자분은 너무 만족해하셨습니다.
임플란트가 있다고 무조건 교정을 못하는것은 아닙니다.
총 치료기간은 14개월 소요되었습니다.











