덧니
20대
2025.02.24
덧니
20대
본문
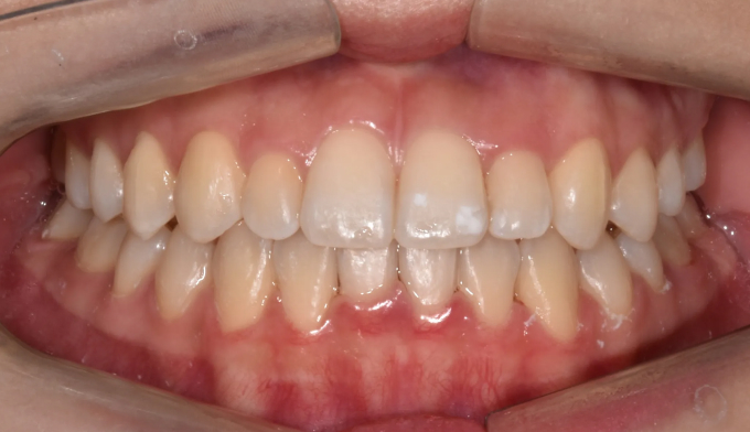
얇은 입술과 뒤로 들어간 입술을 가지고 있기 때문에 발치를 하지 않고 확장과 후방이동을 통해 최대한 공간을 마련하여 교정하기로 하였습니다.
덧니뿐만 아니라 앞니의 교합이 좋지 않아 윗니가 아랫니를 덮지 못하는 개방교합도 동시에 나타납니다.
총 교정기간은 21개월입니다.
원래 앞니의 길이가 위아래로 긴 형태를 가지고 있어서 치아의 길이를 조금 더 줄이면 보다 더 심미적이고 조화로운 형태를 나타냈을텐데, 환자가 치아의 형태를 바꾸길 원하지 않아 조금은 아쉬운 결과를 보입니다.
- NEXT문**







