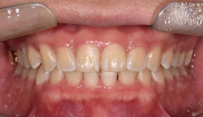
과개교합
20대
2025.02.24
과개교합
20대
본문
과개교합은 앞니를 잇몸안으로 집어넣거나 반대로 어금니를 잇몸밖으로 빼내어 치료하는 방법이 있습니다.
환자의 안모 형태와 입술 두께등을 종합적으로 고려하여 치료방법을 결정합니다.
본 케이스에서는 치아 노출도를 고려하여 윗니를 위로, 아랫니를 아래로 함입하여 과개교합을 치료하였습니다.
교정기간은 총 10개월입니다.







