앞니공간,
과개교합
60대이상
2025.02.10
앞니공간,
과개교합
60대이상
본문
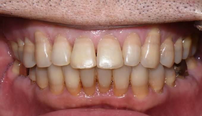
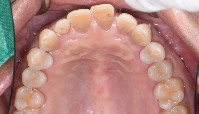
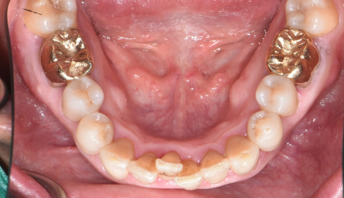
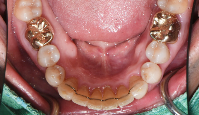
나이가 들면 치아를 붙잡고 있는 잇몸의 퇴축이 일어나게 되며 이로인해 멀쩡한 앞니가 벌어지는 경우가 있습니다. 이때, 교정치료로 마무리할 수 있지만 치료기간이 비교적 길기 때문에 많은분들이 보철치료를 통해 앞니 공간을 메우게 됩니다. 하지만 치아교정을 통해서 공간을 메우게 되면 치아에 어떠한 인공적인 보철물 없이 가능하기 때문에 보다 더 안전하고 비침습적인 접근이 가능하게 됩니다. 이때 필수적으로 잇몸 치료를 동반하여야 교정치료 이후에도 안정적으로 치열이 유지될 수 있습니다.





