덧니
20대
2025.02.10
덧니
20대
본문
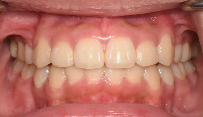
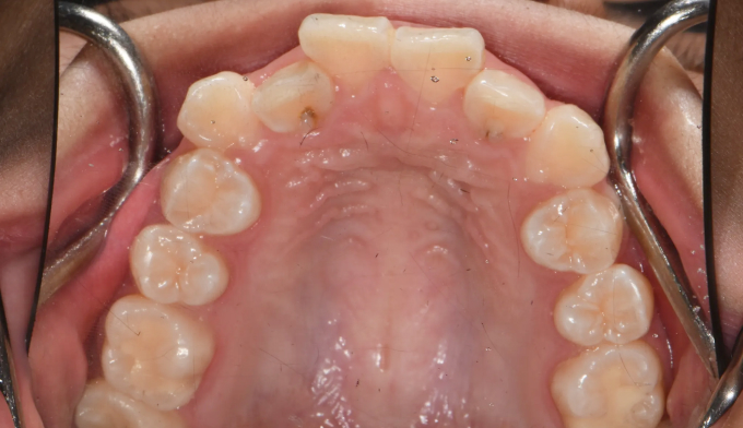
덧니가 있고, 입도 약간의 돌출감을 보입니다. 발치교정을 통해 이 모두를 해소할 수 있습니다.
치료도중, 환자 본인이 입이 너무 들어가서 얼굴 형태가 급격히 바뀌는것을 걱정하여 입을 최소한으로 집어넣기로 하였습니다. 따라서 발치 공간은 모두 치열을 가지런하는데 이용하기로 하였습니다.
발치후 교정하게 되면 교정을 위한 공간이 충분하므로 입의 전후방 위치를 마음껏 조정할 수 있다는 장점이 있습니다. 교정 중 입술의 모양이나 돌출정도를 바꾸고 싶다면 주치의에게 언제든 말씀해주세요!
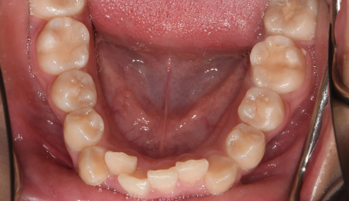
교정기간은 20개월 소요되었습니다.







