개방교합,
불규칙앞니
20대
2025.02.10
개방교합,
불규칙앞니
20대
본문
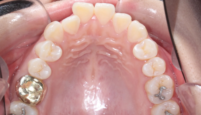
개방교합은 양쪽 어금니가 잘 맞닿아 있는데도 앞니가 위아래로 떠서 맞물리지 않는 경우를 말합니다.
발음도 좋지 않게 되며, 심미적으로도 좋아보이지 않습니다.
이 케이스는 앞니의 치열도 불규칙합니다.
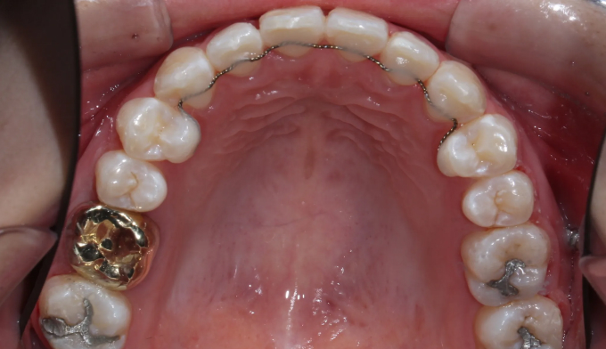
미니스크류를 이용하여 어금니 교합을 변화시켜 개방교합을 해소하였습니다. 이와 동시에 어금니의 후상방 이동으로 앞니 배열공간을 만들었고 앞니를 가지런하게 배열시킬 수 있었습니다.
치아교정이 진행되면서 구강위생관리가 좋지않아 잇몸 염증과 초기 충치가 다수 관찰되었습니다.
교정치료 중에는 보다 더 철저히 구강위생관리에 신경을 써야 합니다.
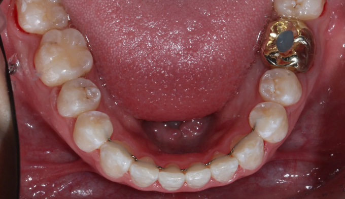
총 치료기간은 15개월 소요되었습니다.







