사랑니맹출이상
10대
2025.02.10
사랑니맹출이상
10대
본문
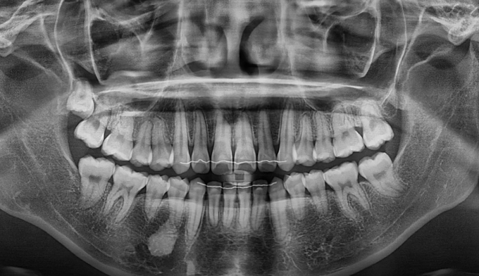
처음 교정치료를 위해 내원하였을때 확인할 수 있었던 것은 화살표로 표시한 부분의 사랑니 맹출이상 이었습니다.
사랑니가 그 앞 어금니쪽으로 잘못 나오게되면서 멀쩡한 어금니의 뿌리를 다 녹이고 있었습니다.
지금 섣불리 교정치료를 시작하기 보다, 뿌리가 녹아버린 어금니를 뽑고 사랑니가 맹출되기를 기다렸습니다.
약 1년 뒤, 사랑니가 어금니 자리를 멀쩡하게 대체할 수 있게 잘 올라와주었습니다,
이제는 가지런하지 않은 앞니와 살짝 돌아간 사랑니를 가지런하게 배열해주는 일을 해야 합니다.
비교적 6개월이라는 짧은 기간안에 교정이 마무리되었습니다.
처음부터 무리하게 교정치료를 들어가지 않은것이 핵심입니다.



