공간부족,
덧니
소아
2025.02.10
공간부족,
덧니
소아
본문
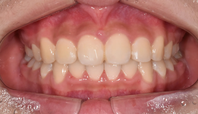
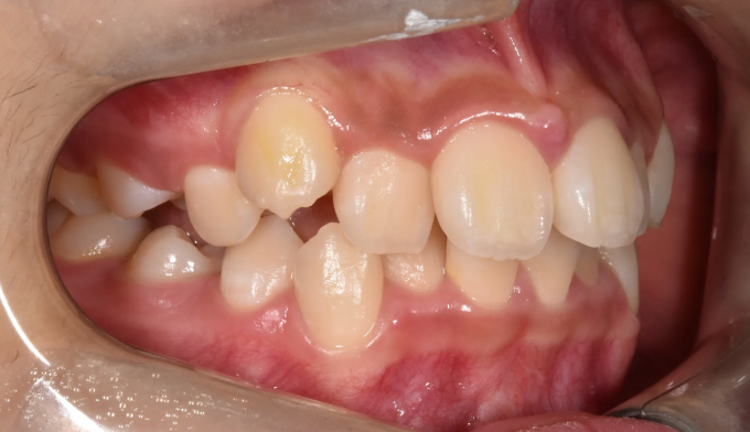
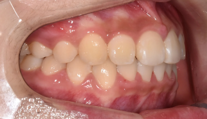
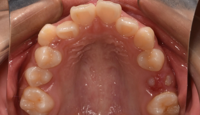
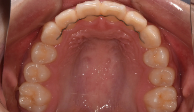
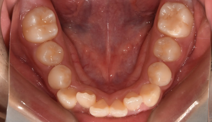
위턱, 아래턱 모두 치아 배열 공간이 부족한 경우 입니다.
확장장치를 이용해 공간 부족을 해결하고 치열을 배열하면 간단히 끝낼 수 있습니다.
이때 입술의 두께나 위치, 위아래 앞니의 각도를 종합적으로 고려하여야 합니다.
치아를 배열한다고 앞니가 뻐드러지면 잘못된 교정치료입니다.
총 치료기간은 20개월 소요되었습니다.











