앞니공간
20대
2025.02.10
앞니공간
20대
본문
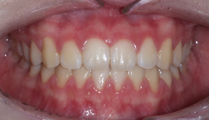
앞니가 벌어져있으며 동시에 입도 약간 나온 경우에는 공간을 해소하면서 동시에 입을 뒤로 넣을 수 있습니다.
보철치료 없이도 공간이 줄어들며, 보철치료로는 불가능한 입술이나 안모의 변화의 효과도 볼 수 있습니다.
이는 치아교정으로만 가능한 결과입니다.
교정기간은 9개월 소요되었습니다.





