덧니,
돌출입
20대
2025.02.10
덧니,
돌출입
20대
본문
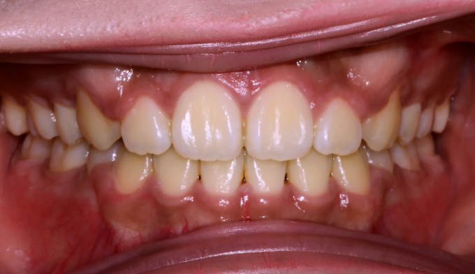
성장기 시기에 유치를 제때 발치하지 않아 송곳니의 맹출경로가 바뀌는 경우가 있습니다.
이때 송곳니가 제위치가 아닌 작은 어금니의 위치로 가게 되면 ‘전위(transposition)’된 치아가 됩니다.
해당 환자는 전위된 치아가 덧니로 형성되어 있었고, 아직 잔존 유치가 남아있었으며, 입도 돌출감을 보이고 있었습니다. 이런 경우 송곳니를 살리기위해, 작은 어금니와 잔존유치를 발치하여 입도 동시에 집어 넣습니다.
교정기간은 23개월입니다.
치열도 고르게되며, 입도 들어가는 일석이조의 효과를 누릴 수 있습니다.







