공간부족,
입천장치아
10대
2025.02.10
공간부족,
입천장치아
10대
본문
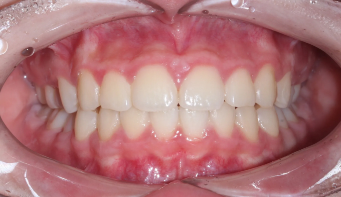
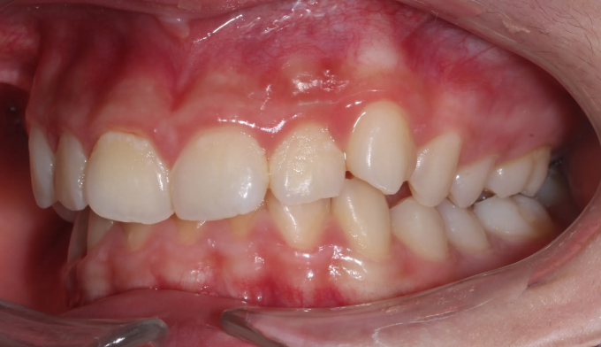
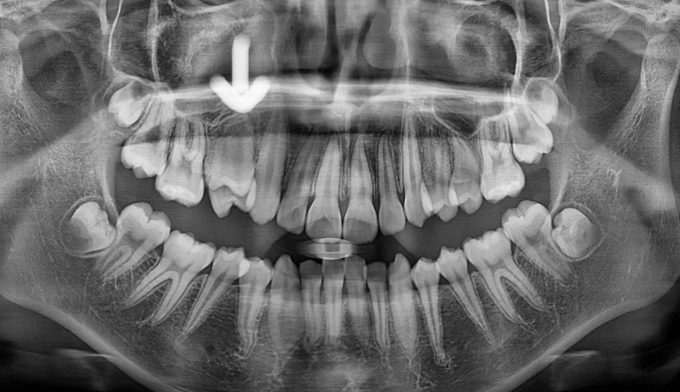
위 작은어금니가 겹쳐져서 맹출하였습니다.
유치를 발치할때 잘못된 순서로 발치하게 되는 경우 이런 경우가 발생할 수 있습니다.
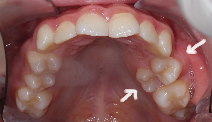
유치 발치 후 영구치가 맹출할 공간을 확보해주어야 위와 같은 일이 생기지 않습니다.
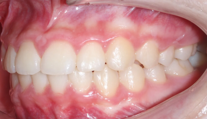
공간이 부족하므로 먼저 양쪽으로 치아를 벌려 공간을 확보해준 후 겹쳐진 치아들을 배열해줍니다.
치아 배열 중 앞니가 뻐드러지지 않게 조심합니다.
총 치료기간은 20개월입니다.









