공간부족,
주걱턱,
치아위치이상
소아
2025.02.10
공간부족,
주걱턱,
치아위치이상
소아
본문
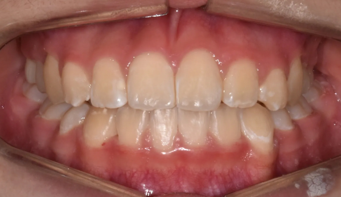
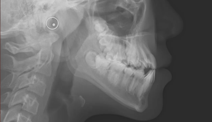
너무 늦은나이에 교정치과를 찾아서 아쉬운 경우입니다.
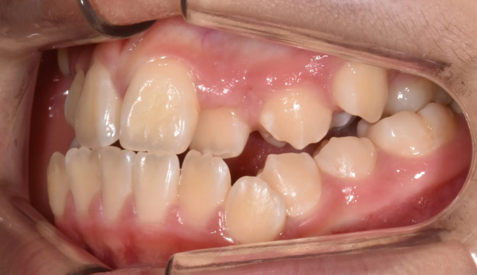
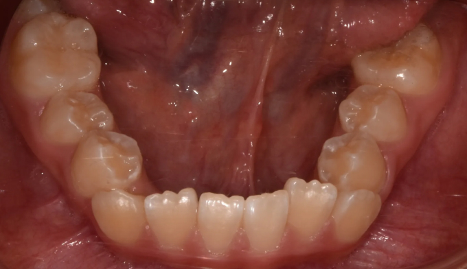
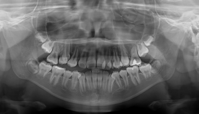
너무 좁은 위턱 공간으로 인해 치아의 맹출 순서가 어긋나버렸습니다.
송곳니가 원래 나와야 할 공간이 없다보니 작은 어금니 위치로 이동해서 맹출하고 있습니다. 이를 치아 전위라고 합니다.
이와 더불어 좁은 위턱 악궁은 얼굴 전체의 비대칭을 유발하고 있고, 아래턱의 과성장은 주걱턱 경향까지 보이고 있습니다.
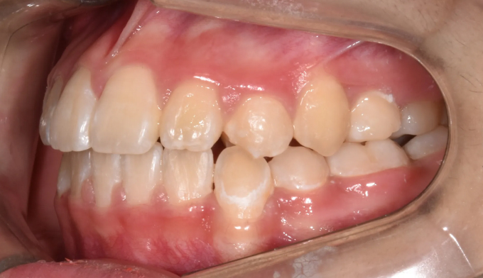
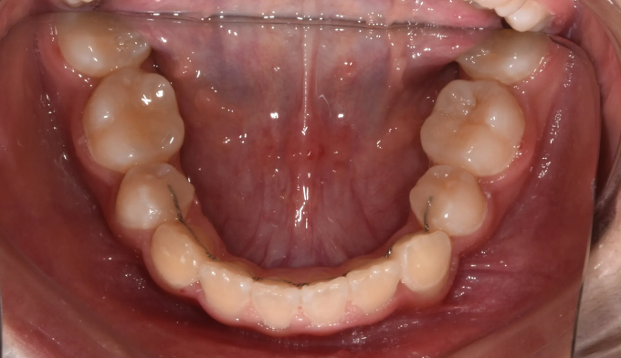
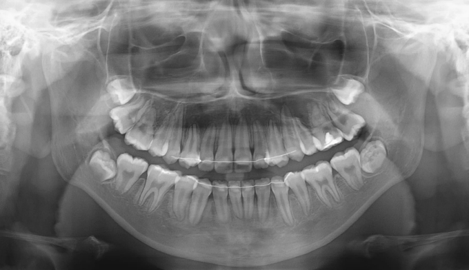
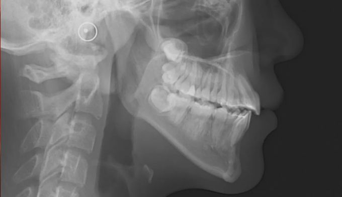
좁은 위턱을 확장하여 치아를 배열할 공간을 만들어주었고, 이 공간을 이용해 치아를 배열합니다.
아래턱의 과성장이 심해지고 있어서 절충치료로 아래치열을 배열해줍니다.
이미 송곳니와 작은어금니의 위치가 꽤 많이 바뀐 상태에서 치과에 내원하게 되어 어쩔 수 없이 최종적인 위치를 바꿔서 배열합니다. 씹거나 말하는데는 전혀 문제가 없습니다.
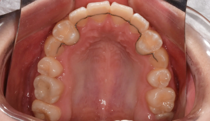
총 치료기간은 26개월 입니다.
아이의 성장기에는 주기적으로 치과에 내원하여 치아의 맹출 방향이 올바른지, 방해되는 요소는 없는지 확인하여야 합니다.











