덧니
20대
2025.02.10
덧니
20대
본문
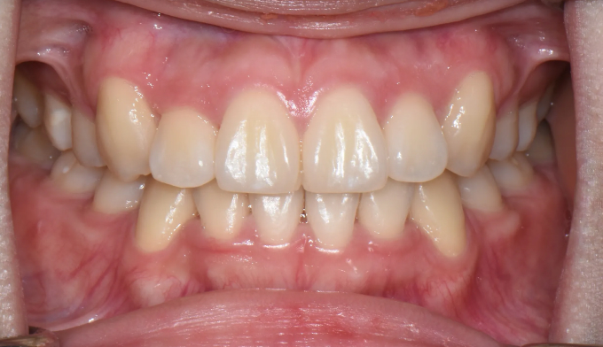
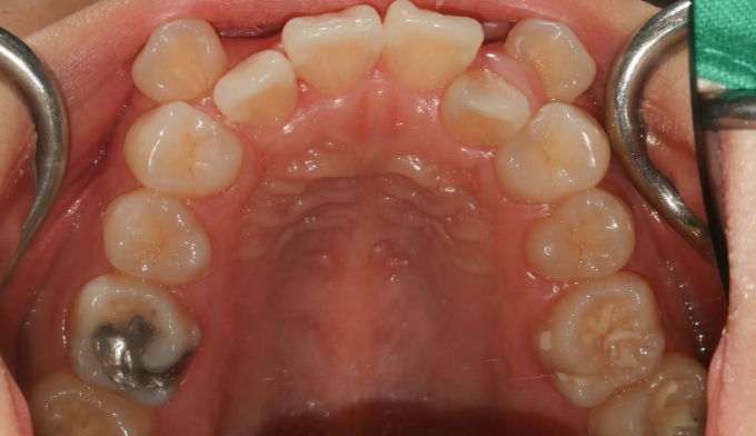
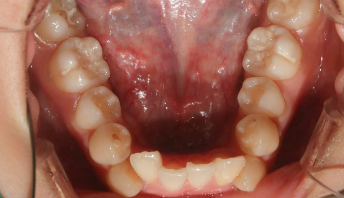
돌출입 정도는 약하지만, 공간이 매우 부족하여 덧니가 명확한 케이스 입니다.
치아 배열을 위한 공간이 많이 필요하기 때문에 발치를 통하여 공간을 먼저 확보하였습니다.
발치가 필요한 경우, 일반적으로 덧니인 송곳니보다는 작은어금니를 발치합니다. 가장 쓰임이 적고 덜 중요한 치아이기 때문입니다. 하지만 발치치아는 사람마다 그리고 케이스마다 달라집니다.
가지런한 치열을 갖기까지의 교정기간은 21개월 이었습니다.







