돌출입
20대
2025.02.10
돌출입
20대
본문
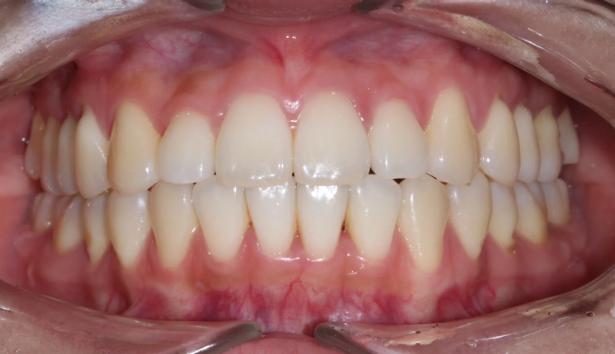
돌출입의 정도, 입술의 두께, 그리고 환자 본인이 입을 얼마나 많이 넣고 싶어하느냐에 따라 발치와 비발치 여부가 달라집니다.
최대한 자연스럽게 입을 넣되, 그 효과는 티가 나는정도면 좋겠다고 하여 비발치로 교정 진행했습니다.
발치교정은 치료 전후에 드라마틱한 변화를 줍니다. 이에 반해 비발치교정은 훨씬 자연스러운 치료 전후 변화를 나타냅니다.
총 치료기간은 16개월 소요되었습니다.







