덧니,
돌출입
10대
2025.02.11
덧니,
돌출입
10대
본문
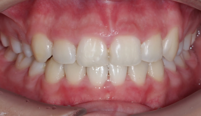
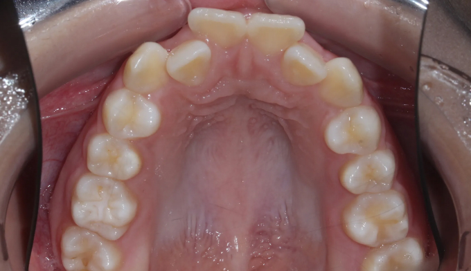
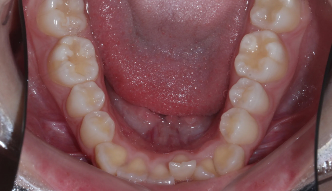
덧니가 심하고 동시에 입도 돌출된 경우라면, 발치교정이 그 답일 수 있습니다.
공간부족과 함께 입도 동시에 집어넣어야 하는 경우에는 필요한 공간이 많기 때문에 발치를 통해 공간을 확보해야 좋은 결과에 이어질 수 있습니다.
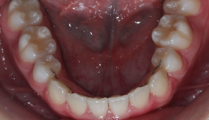
총 교정기간은 21개월입니다.









