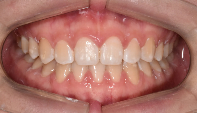
앞니공간,
주걱턱
20대
2025.02.11
앞니공간,
주걱턱
20대
본문
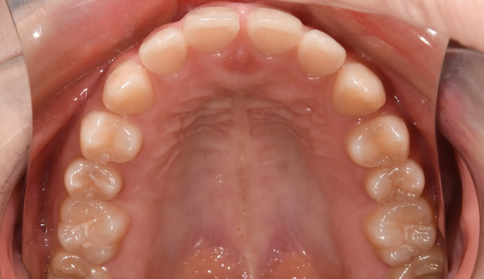
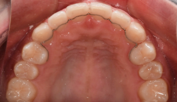
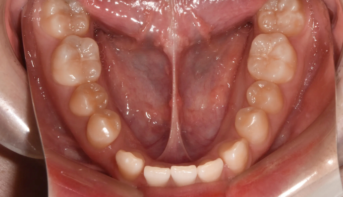
아래 앞니 하나가 선천적으로 부족한 경우이지만 주걱턱 경향으로 인해 아랫니가 윗니를 계속 자극하여 윗니까지 벌어진 케이스입니다. 윗니의 공간을 닫아주기 위하여 아래앞니를 먼저 후방이동시켜줬고, 이후에 벌어진 윗 앞니를 가지런하게 모아 마무리하였습니다. 아래앞니 하나가 부족하기때문에 위아래 가운데선을 맞추지 않고 종료하였습니다. 총 교정기간은 11개월입니다.





