덧니,
돌출입,
개방교합
30대
2025.02.11
덧니,
돌출입,
개방교합
30대
본문
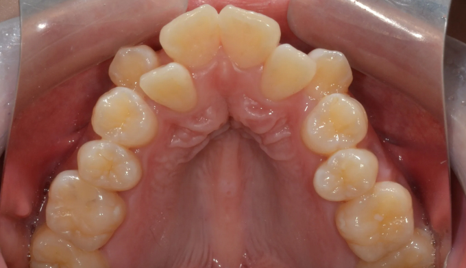
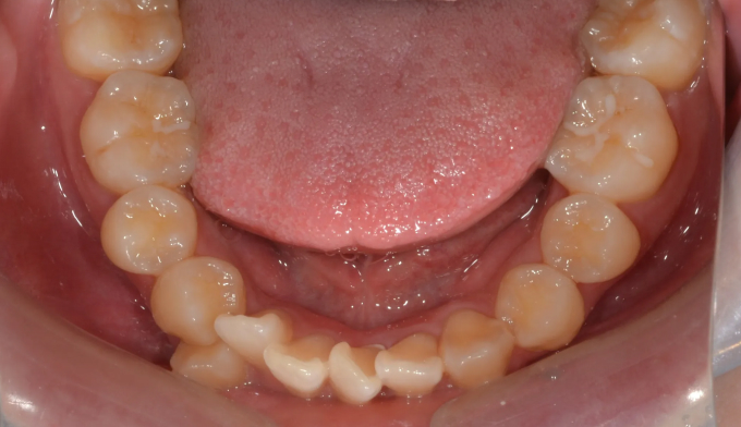
덧니를 해소하기 위해 필요한 공간의 양도 매우 많으며, 돌출의 정도도 심한편입니다. 또한 개방교합도 존재하고 있으며, 악궁의 폭도 매우 좁은편입니다.
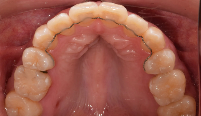
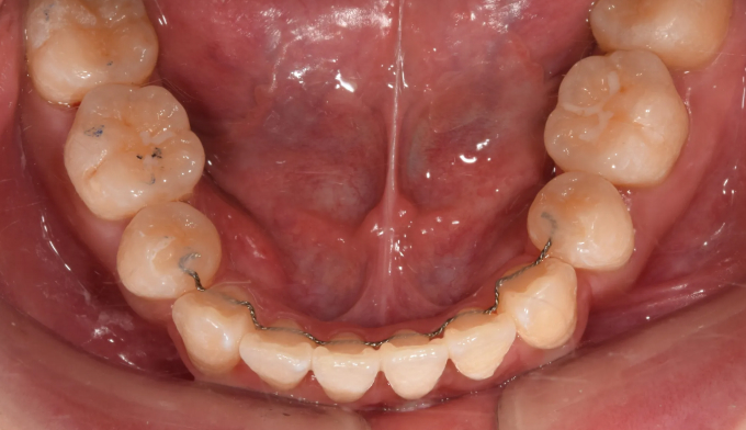
필요한 공간의 양이 너무 많아 악궁 확장과 작은어금니 발치를 모두 시행하였습니다.
그럼에도 돌출감이 조금 남아있어 미니스크류 식립을 동반한 후방이동을 제안하였으나 환자는 현 상태에 만족하여 교정을 조기 마무리한 케이스입니다. 무턱 경향과 입술의 돌출감을 더 해소할 수 있었을텐데 하는 아쉬움이 남습니다. 하지만 항상 교정치료는 환자 입장에서 생각하고 결정해야 합니다. 본인의 얼굴을 스스로가 제일 잘 알기 때문입니다.
성인에서 기존의 앞니 치열이 매우 고르지 못하면, 교정 이후에 아래 앞니와 같은 블랙트라이앵글이 생길 수 있습니다. 마무리 교정 시 원한다면 해당 공간의 크기를 줄일 수 있습니다.
25개월의 교정기간동안 덧니,돌출입, 그리고 개방교합을 해소하였습니다.









