덧니
20대
2025.02.10
덧니
20대
본문
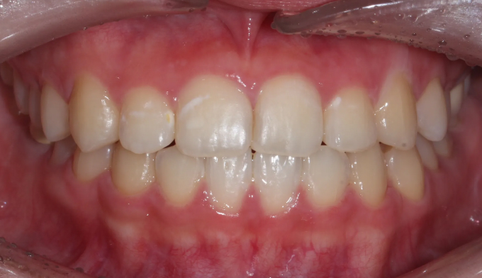
앞니 하나만 뒤로 들어간 경우, 해당 치아만 앞으로 빼내면 되는 간단한 교정이라고 생각하기 쉽습니다.
하지만 해당 치아가 뒤로 들어가면서 전체적인 치열이 한쪽으로 쏠리는 비대칭이 나타났기 때문에 이를 모두 해결하기 위해서는 전체교정을 통한 긴 치료기간이 필요합니다.
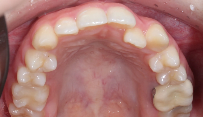
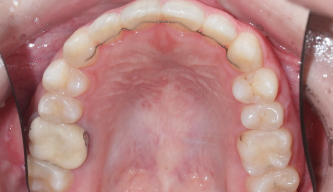
안쪽으로 들어간 앞니 양쪽으로 치열을 밀어서 공간을 확보해주고 앞니를 재위치 시켰습니다.
추가로 한쪽으로 틀어진 치열들도 위아래 중심선을 맞추어주었습니다.
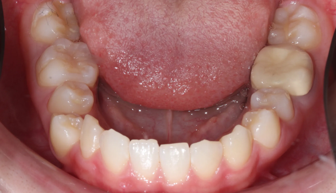
총 치료기간은 17개월입니다.





