치아결손
10대
2025.02.10
치아결손
10대
본문
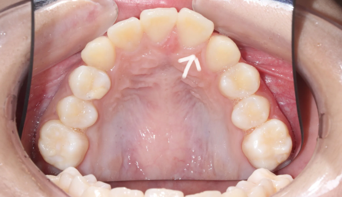
선천적으로 위 앞니 하나가 부족하여 치열이 틀어지게 된 경우입니다.(화살표 부위의 치아가 선천적으로 없습니다)
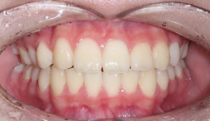
윗니와 아랫니와 치아 갯수가 맞지 않은 경우 교합이 틀어지게 되어 바른 얼굴을 갖지 못하게 되는 경우가 생깁니다. 올바른 교합의 형성은 성장기 어린이의 바른얼굴 형성에 도움을 줍니다.
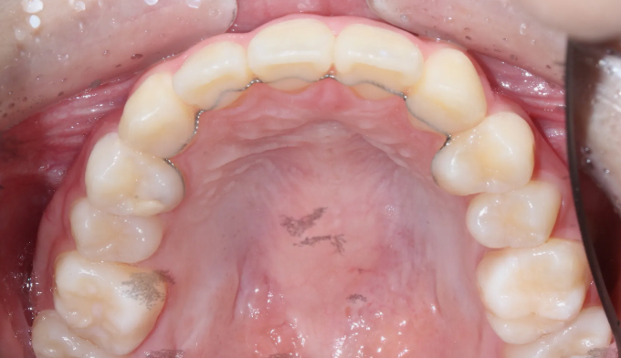
틀어진 이들을 원래의 위치로 당겨서 위아래 중심선을 맞춰줍니다.
총 교정기간은 17개월 소요되었습니다.



