덧니,
주걱턱,
다수충치
50대
2025.02.10
덧니,
주걱턱,
다수충치
50대
본문
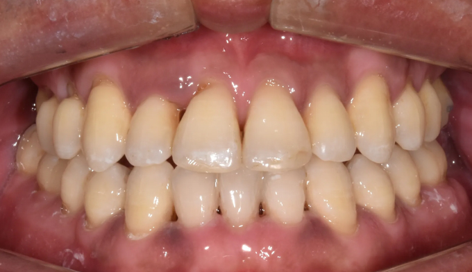
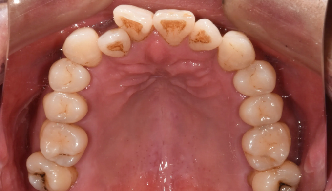
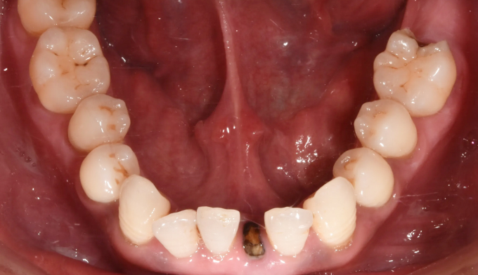
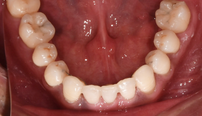
그동안 구강관리 소홀로 아래앞니 하나가 충치로 인해 소실되었으며, 동시에 골격의 주걱턱 경향으로 인해 앞니가 거꾸로 물리는 상황입니다. 아래앞니 빈공간을 임플란트나 크라운과같은 보철치료로 마무리 할 수도 있지만 교정치료를 통해 공간을 메운다면 동시에 거꾸로 물리는 앞니도 개선 가능하므로 교정치료가 보철치료보다 훨씬 효과적인 치료라고 볼 수 있습니다. 환자분의 교정치료에 대한 협조도와 이해도가 높아 비교적 이른 시간내에 교정치료가 마무리되어 매우 만족해 하셨던 케이스입니다. 총 교정기간은 14개월 소요되었습니다.





