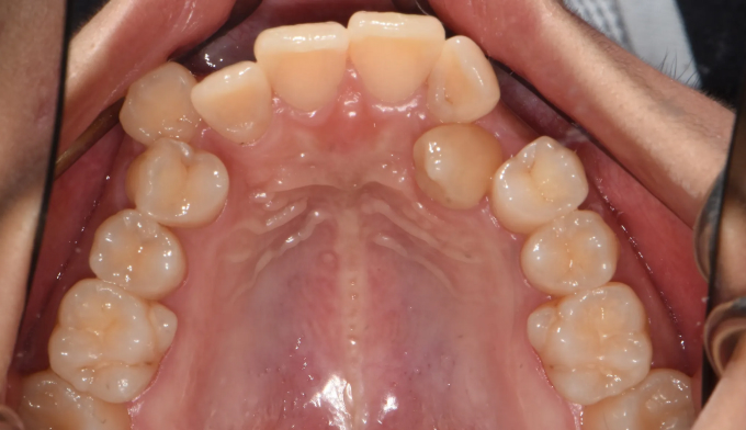
덧니
30대
2025.02.10
덧니
30대
본문
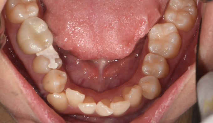
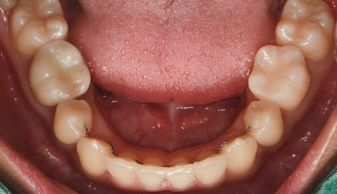
덧니를 해소하기 위해 작은어금니를 발치하고 해당 부위로 송곳니를 이동시킵니다.
송곳니는 전체 치열 중에 가장 튼튼하고 기능이 많은 치아이므로 웬만해서는 발치하지 않습니다.
작은 어금니 발치 시, 충치가 있거나 이미 신경치료를 해서 약해져 있는 치아를 우선적으로 발치합니다.
이 케이스의 경우 총 치료기간은 20개월 소요되었습니다.





