불규칙앞니
40대
2025.02.10
불규칙앞니
40대
본문
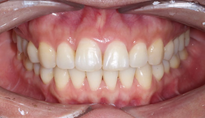
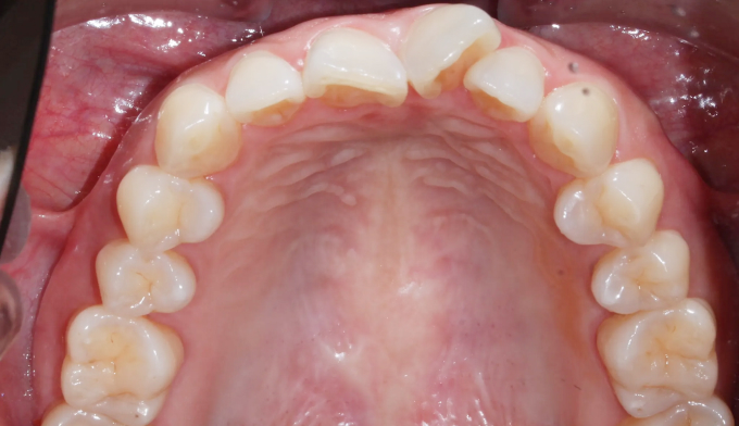
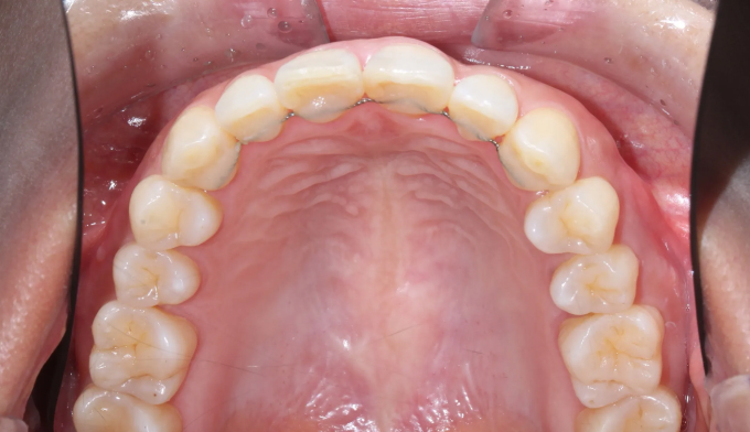
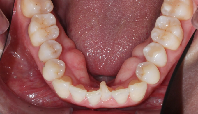
40대가 넘어가면서부터 앞니들이 점점 가운데로 몰리고 삐뚤빼뚤해지는 경우가 많습니다.
우리의 이들은 어릴적 맹출한 위치에 평생 있지 않고, 긴 시간에 걸쳐서 앞쪽으로 쏠리기 때문입니다.
삐뚤빼뚤한 정도가 심하지 않다면 간단한 앞니 부분교정만으로 충분히 배열이 가능하지만, 확보해야할 공간이 크다면 전체교정을 통해 어금니를 뒤로 보내야 앞니를 배열할 수 있는 공간을 만들 수 있습니다.
총 치료기간은 14개월 소요되었습니다.





