간편 회원가입

간편 회원가입을 하시면 리얼한 치료 전후사진을 확인하실 수 있으며 브라우저 창을 닫으면 자동으로 회원탈퇴 처리됩니다.

간편 회원가입

돌출입, 가위교합
10대
2025.02.10

본문

Before

After

Before

After

Before

After

Before

After

Before

After

Before

After

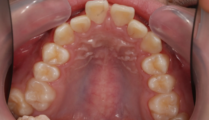
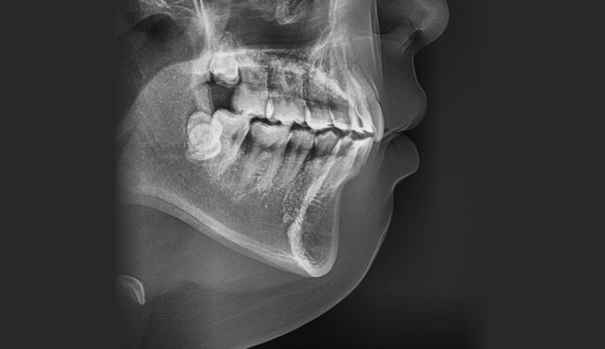
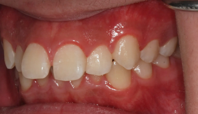
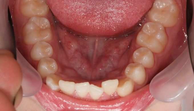
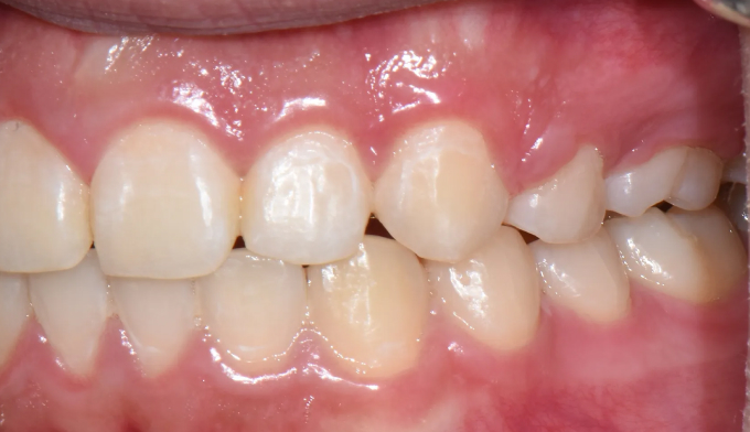
앞니가 돌출되어 있으면서 동시에 위 맨끝 어금니가 아래 어금니와 사선으로 물려있는 가위교합이 관찰됩니다.

가위교합은 음식물 섭취에 있어서도 비효율적이지만, 올바른 잇솔질을 하기가 어려워 구강위생에도 좋지 않아 교정이 필요합니다.


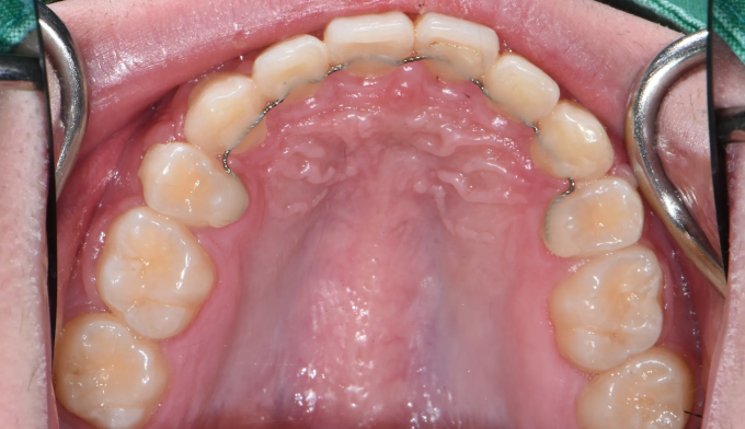
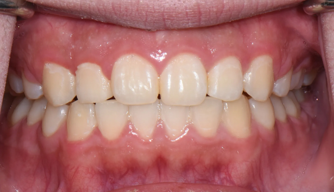
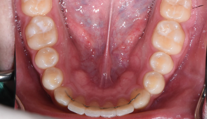
돌출입을 해소하고 동시에 가지런하지 못한 치열을 바르게 펴서 양치하기 좋은 상태로 만들어줍니다.

총 교정기간은 23개월입니다.